连环素α、β在哮喘豚鼠模型中的表达变化
中华结核和呼吸感染 2000年第8期第23卷 论著摘要
作者:潘频华 吴鄂生 陈清兰 尹本义 胡成平 陈琼
单位:410008 长沙,湖南医科大学湘雅医院呼吸科
上皮钙粘附素(E-cadherin,E-cd)与连环素(catenin)α、β结合构成的复合体是介导同型上皮细胞连接、维持呼吸道上皮细胞极性和完整性最重要的细胞粘附机制[1]。支气管哮喘是气道的慢性变应性炎症,气道粘膜上皮细胞脆性增加、上皮细胞脱落、基底膜暴露是支气管哮喘的病理特征之一。为探讨支气管哮喘气道粘膜上皮的这种改变是否与catenin α、β的表达变化有关,我们应用免疫组化法观察了catenin α、β在支气管哮喘模型中的表达变化及地塞米松对其表达的影响。
材料与方法 健康豚鼠24只(雌雄不拘),8~10周龄,体重200~250 g(由本校实验动物中心提供)。随机分成3组:哮喘组(A组)、地塞米松干预组(B组)、 正常组(C组),每组8只,A组于第1天腹腔注射10%卵蛋白(美国Sigma公司)1 ml,致敏2周后给于1%卵蛋白混悬液雾化吸入至出现腹肌收缩、呼吸困难等哮喘症状,每天1次,共7 d。B组处理同A组,不同之处是B组每次雾化诱喘前豚鼠腹腔注射地塞米松2 mg/kg。C组用生理盐水代替卵蛋白和地塞米松。
1周后以2% 戊巴比妥钠腹腔注射麻醉豚鼠、肺动脉插管快速灌注生理盐水100~200 ml至双侧肺呈白色,再接着肺动脉持续灌注4% 多聚甲醛30 min,取下双侧肺组织,气管内注入1.5 ml 4% 多聚甲醛,结扎气管,至肺组织于4% 多聚甲醛中膨胀固定6~10 h,常规石蜡包埋切片。
免疫组化SABC染色:采用武汉博士德公司SABC免疫组化试剂盒。取5 μm厚石蜡切片,3% H2O2甲醇溶液30 min,微波修复抗原2 min×5次,抗原修复液室温10 min,正常封闭山羊血清室温30 min,分别滴加兔抗人、鼠catenin α、β单克隆抗体(工作浓度均为1∶500,美国Sigma公司)、37 ℃反应30 min,4 ℃过夜,滴加生物素化二抗反应30 min,SABC复合物30 min,DAB显色,苏木素复染,中性树胶封片。结果判断:以上皮细胞膜/浆染棕黄色为阳性,每张切片在光学显微镜下(×400倍)分别随机计数500个气管和细支气管上皮细胞,计数阳性细胞百分率。
数据统计分析:以
±s 表示,采用SPSS 7.5统计软件进行F检验。
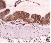
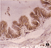
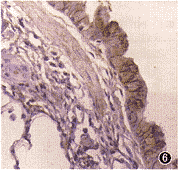
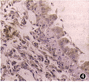
结果 catenin α、β在肺组织中的染色特征:正常组豚鼠气管、细支气管粘膜上皮细胞完整,catenin α、β表达强阳性,其细胞定位主要在细胞膜上,在细胞连接的侧面更为明显,部分细胞胞浆亦有轻度着色,细胞轮廓清晰(图1,2)。哮喘模型组气道粘膜上皮细胞呈灶性脱落,气管、细支气管粘膜上皮catenin α、β表达阳性细胞明显减少、表达强度减弱,且弥散于胞浆内,细胞界线模糊不清(图3,4)。地塞米松干预组气管、细支气管上皮细胞catenin α、β表达较哮喘组明显增强(图5,6)。
各组catenin α、β表达阳性率比较:见表1。
表1 豚鼠呼吸道上皮细胞catenin α、β阳性
表达率(%,
±s)
| 组别 |
鼠数 |
catenin α |
catenin β |
| 气管 |
细支气管 |
气管 |
细支气管 |
| 正常组 |
8 |
90±4 |
89±6 |
87±4 |
88±4 |
| 哮喘组 |
8 |
55±7※△ |
60±7※△ |
52±7※△ |
54±6※△ |
| 地塞米松组 |
8 |
84±5 |
86±6 |
83±5 |
83±5 |
注:与正常组比较※ P<0.01,与地塞米松组比较△ P<0.01
讨论 Catenin α、β与E-cadherin复合体在介导同型上皮细胞之间粘附连接、维持上皮极性和完整性等方面起着重要作用。E-cd是一个跨膜蛋白,其胞膜内侧区与catenin α、β(紧密连接区还有catenin γ参与)紧密结合,catenin α、β起稳定E-cd于细胞膜上和介导细胞内信号传导的功能,catenin α、β的功能和表达变化均可影响E-cd在细胞膜上的稳定性,既而影响细胞的粘附功能。近年来有关catenin α、β-E-cd复合体在肿瘤浸润转移以及炎症损伤修复中的变化开始引起重视[2,3]。本组结果显示,支气管哮喘气道上皮细胞出现损伤脱落时,气管和细支气管上皮细胞catenin α、β的表达均明显降低,并脱离胞膜边缘游离于胞浆之中,说明哮喘气道上皮细胞损害涉及各级支气管。而地塞米松干预后气道上皮细胞catenin α、β的表达均明显上调,同时粘膜上皮层亦较完整。 以上结果表明,catenin α、β的表达下调与支气管哮喘气道上皮细胞的损伤脱落密切相关。

图1、2 分别为cateninα、catenin β在正常豚鼠肺组织中表达SABC染色×400

图3、4分别为cateninα、catenin β在哮喘豚鼠中表达SABC染色×400

图5、6 分别为地塞米松干预组cateninα、catenin β的表达SABC色×400
参考文献
[1]王曦,李军,吴人亮. 上皮钙粘附素-连环素复合体功能调控的研究进展. 国外医学分子生物学分册,1998,20:42.
[2]Efstathiou JA,Pignatelli M. Modulation of epithelial cell adhesion in gastrointestinal homeostasis. Am J Pathology , 1998,153:341.
[3]Ozawa M,Kemler R. Altered cell adhesion activity by pervanadate due to the dissociation of alpha-catenin from the E-cadherin.catenin complex . J Biol Chem,1998,273:6166-6170.
(收稿日期:1999-12-07)