您所在的位置:首页 > 医学图谱 > 性病见光
aposis肉瘤皮肤组织活检
http://www.piccc.com ] 点击数: 【字体:

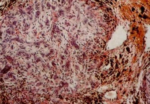
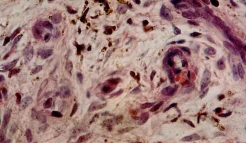
图注:aposis肉瘤 皮肤活组织检查 石蜡切片H-E染色 光镜(4×10)(10×10)(10×40)可见肿瘤组织中有许多新形成的血管,血管扩张,内皮细胞肿大突出于管腔内,红细胞外溢,含铁血黄素沉积。肿瘤由成纤维细胞、上皮样细胞淋巴细胞组成,并有大小不等、染色较深的圆形、椭圆形细胞。


页面功能 【参与评论】【打印文章】【网上投稿关闭窗口
上一编:没有
下一编:I期梅毒(硬下疳1)

栏目列表