
图注:艾滋病合并隐球孢子虫病,在小肠壁绒毛表面呈现黑点。

图注:上图右背侧像。

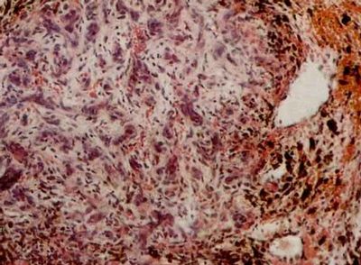
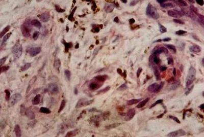
图注:aposis肉瘤 皮肤活组织检查 石蜡切片H-E染色 光镜(4×10)(10×10)(10×40)可见肿瘤组织中有许多新形成的血管,血管扩张,内皮细胞肿大突出于管腔内,红细胞外溢,含铁血黄素沉积。肿瘤由成纤维细胞、上皮样细胞淋巴细胞组成,并有大小不等、染色较深的圆形、椭圆形细胞。

图注:aposis肉瘤 皮肤活组织检查 石蜡切片H-E染色 光镜(4×10)(10×10)(10×40)可见肿瘤组织中有许多新形成的血管,血管扩张,内皮细胞肿大突出于管腔内,红细胞外溢,含铁血黄素沉积。肿瘤由成纤维细胞、上皮样细胞淋巴细胞组成,并有大小不等、染色较深的圆形、椭圆形细胞。