您所在的位置:
首页
>
医学图谱
>
皮肤病图
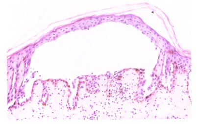
寻常性天疱疮组织病理象表皮内大疱
[
http://www.piccc.com
] 点击数:
【字体:
大
中
小
】
页面功能 【
参与评论
】【
打印文章
】【
网上投稿
】
【
关闭窗口
】
上一编:
寻常性天疱疮示松弛大疱及糜烂面
下一编:
寻常疣
栏目列表