第二章 吞咽障碍
| 2.1 生理29 |
2.3 Zenker憩室35 |
| 2.2 口咽吞咽障碍32 |
2.4 食管动力障碍37 |
吞咽困难是指可由多种原因引起的、可发生于不同部位的吞咽时咽下困难的感觉。
引起吞咽困难的原因有:
· 吞咽反射异常
· 机械性梗阻
· 动力失调
· 胃食管反流病(GERD)。
2.1 生理
与吞咽有关的解剖结构有口、舌、咽及食管。
吞咽过程可分为三个阶段(图2.1及2.2):
1 随意期或称口期。
2 咽期。
3 食管期。
1 随意期或口期
此期舌上的食物被主动送至口腔后部,舌将食物压入咽部。
2 咽期
食物由咽部运送至食管。这是一种反射活动。食物刺激了咽部的吞咽受体,所产生的冲动传到脑干的吞咽中枢,此中枢即抑制吞咽的时呼吸,并激发一系列协调的过程:

图2.1 吞咽过程中食团由口运送到上段食管示意图。

图2.2 正常吞咽运动时测压结果。
· 防止食物反流入鼻腔
· 防止食物进入气管
· 使食管上口开大并松弛上食管括约肌(UES)
· 产生沿食管向下运送食物的蠕动波。
3 食管期
食团因重力及食管蠕动而顺食管下送。正常情况下食团通过长25cm的整个食管约需7-10秒。下食管括约肌(LES)松弛使食物进入胃中。
正常LES静息压较胃内压高约20mmHg,吞咽时LES压力降至与胃内压相同的水平。LES开放使食团进入胃中,待收缩波传过后方关闭。
LES静息压可随激素作用、药物及所消化食物的不同而变化。
降低LES压力的因素
· 激素,如黄体酮、胰泌素、胆囊收缩素和胰高血糖素
· 食物,如脂肪、酒精和巧克力
· 药物,如钙通道阻滞剂、安定类、茶碱和阿托品。
增高LES压力的因素
· 激素,如胃泌素、胃动素和血管加压素
· 食物,如蛋白质
· 药物,如促动力药。
蠕动
将食物送至胃内有两种蠕动收缩(图2.3):
原发性蠕动
原发性蠕动为吞咽引起的食团上方的环形肌收缩,驱使食物向胃运动。食团下方的纵行肌亦收缩,使食管(食团的通路)缩短。

图2.3 食团沿食管向下推进。
继发性蠕动
继发性蠕动由食管内残留物(食物或反流物)引起的食管扩张所起动。当原发性蠕动不能使食物完全排空时,继发性蠕动的作用非常重要。此时,食管不断产生继发性蠕动直至食管内所有存留食物均排出。
2.2 口咽吞咽障碍
口咽部和/或UES的结构或推进功能异常可以不同方式影响正常吞咽过程。大部分口咽部功能异常是由神经或肌肉疾病引起的,导致口腔控制食团困难,不能激发咽部吞咽反射,从而使固体和液体食物从口至食管下咽困难。因鼻咽部和气道未受保护,可导致严重的呼吸道并发症。
病因
口咽部吞咽困难的原因有:
· 神经肌肉疾病,包括先天性和获得性中枢及外周神经系统疾病,例如脑血管意外、多发性硬化症、帕金森氏病、脑干肿瘤、假性延髓麻痹、外周神经和肌肉疾病(重症肌无力、脊髓灰质炎、皮肌炎)
· 机械性梗阻,如甲状腺肿大压迫、颈部淋巴结疾患、口咽部癌肿、先天性异常、炎症性疾病、颈椎增生
· 医源性损伤,可由口咽部手术、放疗引起,或由手术、外伤导致支配口咽部的颅神经受损所引起。
症状
· 对液体和固体食物的口咽部咽下困难(图2.4)
· 口咽部咽下困难伴原发性的咽部吞咽反应发动困难。常伴语言障碍、舌瘫以及异物吸入(常见于神经肌肉疾病引起的吞咽障碍)
· 食物反流至鼻咽部。

图2.4 分析症状,推导吞咽困难的诊断。图取自
Castell,1992。经Little Brown & Co.许可。
鉴别诊断
· 贲门失弛缓症(症状可能会被误认为发生于UES)
· GERD
· Zenker憩室(可为UES功能紊乱的后果)。
诊断措施
形态学诊断
X线钡餐检查
可观察吞咽过程,确定是否存在梗阻。
X线电视诊断
可检查在吞钡过程中食团在口咽部的运送,咽部的收缩,UES的松弛状况,保护气道的动作等。此检查仍是诊断口咽部吞咽功能障碍的首选措施。
内镜
可进一步检查有否梗阻存在,并除外炎症或肿瘤。
电视内镜分析
用灵活的喉镜可见吞咽时的解剖结构,尤其可研究鼻咽部关闭及声带的开合情况。此技术亦可用于检查误吸。
功能性诊断
咽部测压
对于吞钡检查结果正常或不能确定的吞咽困难患者可行测压检查。用专用导管测定UES静息压、UES松弛情况、咽部的收缩及蠕动来评价吞咽过程。测压过程中应特别关注UES松弛与咽部收缩的协调性(见8.6)。
同步吞钡透视及测压检查(图2.5)
为评价吞咽异常可同步进行咽部测压及X线透视。钡透视显影与生理指标记录同步进行,检测同步显示,并以数字方式记录在同一计算机上。

图2.5 同步钡透及测压检查(图取自Medtronic GastroIntestinal).
X线电视诊断
可显示钡剂通过咽部的情况并确定其是否流入气道。与咽部测压联合进行可对咽部功能紊乱的发病机制进行详细分析,效果优于单独行上述二种检查。
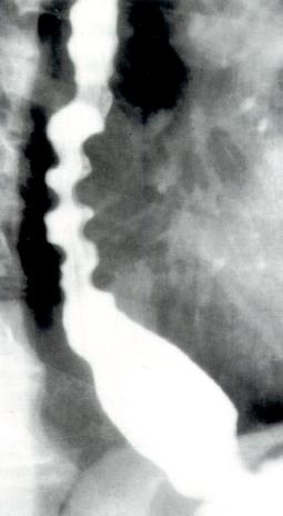
2.3Zenker憩室
Zenker憩室为下咽部粘膜膨出,位于咽与食管交界处。憩室于环咽肌的环状束与斜束之间向背侧膨出,病人吞咽时食物易于进入憩室内。
这就会导致吞咽困难,并出现未消化食物从Zenker憩室延迟性反流入口腔等症状。
病因
病因尚未完全明了,但在憩室的发生机制中解剖因素很重要。UES和食管上段的动力失调也可能促进Zenker憩室的形成。
形成Zenker憩室有两种主要假说:
1UES松弛与咽部收缩不协调。
2 纤维化或肌纤维变性致UES开放减少。
症状
· 未消化食物反流
· 吞咽困难
· 颈部出现肿块,餐后多见。
鉴别诊断
· 口咽部吞咽障碍
· 食管狭窄
· 肿瘤。
诊断措施:
食管X线吞钡
为诊断Zenker憩室的首选检查(图2.6)。
内镜
内镜亦可用来观察憩室。但检查时若内镜进入憩室可能发生从憩室的菲薄粘膜处穿孔的危险。
测压检查
咽部测压可确定咽部的蠕动与UES的松弛和关闭以及食管上段的蠕动之间的协调性。外科行憩室切除术或憩室固定术需同时行环咽肌切开术时,术前应行测压检查(见8.6)。

图2.6 Zenker憩室的X线表现。憩室囊位于食管后方。
2.4 食管动力障碍
食管动力障碍通常包括原发性、继发性及非特异性。
1 原发性食管动力障碍只影响一个器官——食管,如:贲门失弛缓症、弥漫性食管痉挛以及胡桃夹食管。
2 继发性食管动力障碍为全身性疾病累及管所至,如硬皮病。
3 非特异性食管动力障碍可能与吞咽困难或胸痛等症状有关,但其动力异常尚未达典型的原发性食管动力障碍的诊断标准。
1 原发性食管动力障碍
(a)贲门失弛缓症
特发性贲门失弛缓症是一种原发性食管动力障碍,可引起进行性吞咽困难及反流。常有LES高压,更重要的是在吞咽时LES不能完全松弛以使食进入胃中,且因远端食管缺乏蠕动致食物郁积及食管扩张。
病因
贲门失弛缓症的病因尚未完全确定。一些文献认为是肠肌间神经丛的自身免疫反应引起,另一些文献支持其为遗传性疾病,还有人认为与感染和环境因素有关。最一致的发现是LES缺乏抑制性神经递质(血管活性肠肽(VIP)和/或一氧化氮),而致松弛不全。
在贲门失弛缓症患者观察到的其他异常包括:
·食管肌间神经丛缺乏神经节细胞
·迷走神经退行性病变
·迷走神经运动性背侧核的神经细胞发生量变和质变。
总结果是吞咽时食管肌肉活动明显减弱(无蠕动)及LES非对抗性收缩(而非松弛)。
Chagas病(恰加斯病)(南美洲锥虫病)
该病是继发性贲门失弛缓症的一种,病因为寄生虫感染破坏了肌间神经丛的节细胞,从而导致食管扩张。此外,胃肠道的其他器官亦可受累。
症状
·吞咽困难
·反流
·胸骨后疼痛
·气管食物吸入
·体重减轻。
鉴别诊断
·伴并发症的GERD,如食管狭窄
·食管痉挛
·继发性动力障碍——硬皮病伴消化性狭窄
·癌肿(已报道有一种贲门失弛缓症样综合征与许多肿瘤有关,最常见于贲门癌)。
若患者发病时年龄较大,症状持续时间短,食管扩张程度轻,体重下降快而严重,则由癌肿引起类似贲门失弛缓症状的可能性增加。
诊断措施;
形态学诊断
食管X线检查
X线吞钡可用于观察食管并显示食管是否扩张。贲门失弛缓症的特征性X线表现为胸部食管扩张伴液平。LES逐渐变细使食管呈现鸟嘴样外观(图2.7)。
内镜
可排除梗阻、食管炎或狭窄,且可取活检以除外肿瘤等。
功能性诊断
食管测压检查(见8.4)
贲门失弛缓症的特征性测压结果如下(图2.8):
· 食管蠕动消失
· LES压力增高(超过30mmHg)

图2.7 贲门失弛缓症的食管X线表现。
· LES不能松弛、松弛不完全或虽完全但松弛时程短暂(<6秒)
· 食管内压升高。
(b)弥漫性食管痉挛
弥漫性食管痉挛(DES)是一种原发性食管动力障碍,病人表现为非进行性、间歇性吞咽困难,常伴胸痛。测压时可见与正常蠕动相混并同时发生的远端食管收缩。多数DES患者并无症状。

图2.8 贲门失弛缓症患者测压结果示意图。取自Smout,1992。经
Wrightson Biomedical出版公司许可。
病因
DES的病因及神经肌肉的病理生理变化仍不清楚。
症状
· 胸骨后痛。疼痛亦可放射到颈部、上臂、下颌且可能与进食有关
· 间歇性吞咽困难,可由精神紧张,进食冷、热液体或进食过快所诱发
· 吞咽痛。
鉴别诊断
· 缺血性心脏病(IHD)
· GERD伴并发症如食管炎、狭窄
· 贲门失弛缓症
· 继发性动力障碍——伴消化性狭窄的硬皮病
· 肿瘤。
诊断措施
形态学诊断
内镜
可观察食管并除外其他疾病。
食管X线吞钡检查
DES患者可见非蠕动性同步收缩形成的节段性钡柱,称为“开塞钻食管”(图2.9)。钡透视亦可用于除外其他疾病的可能性。
功能性诊断
食管测压
DES的诊断需结合相应的症状和异常的测压结果(图2.10)方可作出。支持DES诊断的特异测压表现如下:
· 频发的同步性(非蠕动性)收缩(超过湿咽的20~30%),间以正常蠕动
· DES测压异常通常仅限于食管的远端三分之二
· 多峰波(每个波多于2峰)
· 收缩间期延长(长于6秒)
· 自发性收缩
· 高波幅收缩(高于180mmHg)。
后五条常见于DES患者,但诊断DES时并非必需(见8.4)。

图2.9 DES病人X线吞钡检查显示开塞钻食管。
(C)胡桃夹食管
非心源性胸痛(NCCP)患者测压检查中最常见的异常为胡桃夹食管。胡桃夹是指伴胸痛或吞咽困难的病人,于食管测压中发现的高波幅但为蠕动性的收缩波。
病因
病因不明。一些学者认为其确为一种疾病而其他人推测胡桃夹最终将发展为贲门失弛缓症。亦有人认为与对酸反流的反应有关。

图2.10 DES患者测压结果示意图。取自Smout,1992。经
Wrightson Biomedical 出版公司许可。
症状
· NCCP
· 吞咽困难(不如NCCP常见)。
鉴别诊断
· GERD
· IHD
· 贲门失弛缓症
· DES
· 焦虑状态。
诊断措施
功能性诊断
食管测压检查
以下为胡桃夹食管的测压表现(图2.11)(见8.4):
· 典型的波幅超过180mmHg的高波幅蠕动性收缩。收缩波幅常达300mmHg以上。
· 亦可见收缩持续时间延长及LES压力升高,但诊断时并非必需。

图2.11 胡桃平食管病的测压结果图。取自Smout,1992。
x rightson Biomedical出版公司许可。
2、 继发性动力障碍
全身性疾病是一些可累及身体不同部分及器官的疾病。其中一些(如硬皮病)可在食管有表现,导致不同程度的食管功能障碍,即继发性动力障碍。
(a)硬皮病或进行性系统性硬化症
硬皮病是一种结缔组织疾病,引起多种脏器如皮肤、肺、心脏、胃肠道和肾脏的纤维化。
病因
食管功能障碍的确切发病机制不明。多认为是硬化性病变侵犯了食管远端三分之二的平滑肌。横纹肌组成的食管近端常不受累。
平滑肌纤维化致远端食管蠕动波幅降低。并且,由于LES功能不全可出现严重的胃食管反流及其并发症,如:
· 糜烂性食管炎
· 狭窄
· Barrett食管
· 吸入性肺炎。
症状
· 烧心
· 吞咽困难
· 胸痛。
鉴别诊断
· GERD
· 贲门失弛缓症。
诊断措施
形态学诊断
内镜
可检查是否存在食管炎或狭窄。可行活检以排除胃食管反流的并发症,如食管炎、Barrett食管炎。
X线食管吞钡检查
食管体可呈扩张、张力低或直径正常但蠕动减少等不同的表现(图2.12)。

图2.12 硬皮病患者的吞钡表现。硬皮病X线所见可与贲
门失弛缓症相似,仅LES开口增大而不同。
功能性诊断
食管测压
以下测压异常表现常提示硬皮病(见8.4)。
测压表现
· LES压力降低(致胃食管反流)
· 远段食管蠕动弱或缺如
· 食管上段蠕动及UES压力均正常(图2.13)。

图2.13 硬皮病患者的测压示意图:取自Smout,1992。经
Wrightson Biomedical 出版公司许可。
食管放射性核素闪烁显影
食管远段肌张力缺乏致食管排空减少。
3、非特异性食管动力障碍
明确地区分非特异性食管动力障碍与典型的原发性食管动力障碍(如贲门失弛缓症、弥漫性食管痉挛和胡桃夹食管)通常不太可能。
许多有吞咽困难或NCCP症状的患者测压检查时表现出不同类型的食管动力异常,但又达不到典型原发性动力障碍的诊断标准,这些患者常诊断为非特异性食管动力障碍。
病因
病因不明,某些患者的食管动力改变可能由胃液反流所致,但不能解释所有情况,也可有与反流无关的情况存在。
症状
· NCCP
· 吞咽困难。
鉴别诊断
· DES
· 贲门失弛缓症
· IHD。
诊断措施
功能性诊断
食管测压
行测压检查可发现能揭示非特异性食管动力障碍的动力异常指标。下列测压结果均可归入非特异性食管动力障碍:
· 多峰性或重复性收缩波数量增多
· 出现长时限收缩
· 不传导的收缩波——在食管不同水平,蠕动波中断
· 低幅收缩(食管上段低于12mmHg,中下段低于25mmHg)
· 单纯的LES功能异常。