第五节 CT诊断的临床应用
CT诊断由于它的特殊诊断价值,已广泛应用于临床。但CT设备比较昂贵,检查费用偏高,某些部位的检查,诊断价值,尤其是定性诊断,还有一定限度,所以不宜将CT检查视为常规诊断手段,应在了解其优势的基础上,合理的选择应用。
CT诊断应用于各系统疾病有以下特点及优势,参考图1-2-6。
CT检查对中枢神经系统疾病的诊断价值较高,应用普遍。对颅内肿瘤、脓肿与肉芽肿、寄生虫病、外伤性血肿与脑损伤、脑梗塞与脑出血以及椎管内肿瘤与椎间盘脱出等病诊断效果好,诊断较为可靠。因此,脑的X线造影除脑血管造影仍用以诊断颅内动脉瘤、血管发育异常和脑血管闭塞以及了解脑瘤的供血动脉以外,其他如气脑、脑室造影等均已少用。螺旋CT扫描,可以获得比较精细和清晰的血管重建图像,即CTA,而且可以做到三维实时显示,有希望取代常规的脑血管造影。
CT对头颈部疾病的诊断也很有价值。例如,对眶内占位病变、鼻窦早期癌、中耳小胆指瘤、听骨破坏与脱位、内耳骨迷路的轻微破坏、耳先天发育异常以及鼻咽癌的早期发现等。但明显病变,X线平片已可确诊者则无需CT检查。

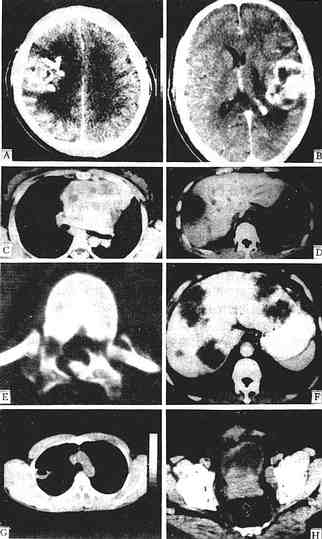
图1-2-6 CT图像
少支胶质细胞瘤增强,右额、顶叶有一较大不规则肿块,强化不均,周围有低密度水肿区
星形细胞瘤 增强,左额顶叶有一不均匀强化肿块,不规则,内有未有强化的低密度区,周围有低密度水肿区,中线结构右移
胸腺增生 平扫,胸腺区有一分叶状密度均一病灶,仍呈胸腺状,主动脉受压右移
肝脓肿 平扫,肝右叶有一低密度灶类圆形,中心部密度更低为脓腔,周边为脓肿壁呈“双边征”
腰椎骨折 平扫,椎弓多处中断,椎管变形,其内可见碎骨片
肝转移癌 增强,肝左、右叶多个大小不一、不规则低密度灶,周边有细的强化环围绕
肺脓肿 平扫,右上叶有一空洞性病灶,内壁光滑,并见气液平面,胸部X线片曾疑肺癌
前裂腺癌 平扫,前列腺分叶状增大,并向膀胱内突入
对胸部疾病的诊断,CT检查随着高分辨力CT的应用,日益显示出它的优越性。通常采用造影增强扫描以明确纵隔和肺门有无肿块或淋巴结增大、支气管有无狭窄或阻塞,对原发和转移性纵隔肿瘤、淋巴结结核、中心型肺癌等的诊断,均很在帮助。肺内间质、实质性病变也可以得到较好的显示。CT对平片检查较难显示的部分,例如同心、大血管重迭病变的显圾,更具有优越性。对胸膜、膈、胸壁病变,也可清楚显示。
心及大血管的CT检查,尤其是后者,具有重要意义。心脏方面主要是心包病变的诊断。心腔及心壁的显示。由于扫描时间一般长于心动周期,影响图像的清晰度,诊断价值有限。但冠状动脉和心瓣膜的钙化、大血管壁的钙化及动脉瘤改变等,CT检查可以很好显示。
腹部及盆部疾病的CT检查,应用日益广泛,主要用于肝、胆、胰、脾,腹膜腔及腹膜后间隙以及泌尿和生殖系统的疾病诊断。尤其是占位性病变、炎症性和外伤性病变等。胃肠病变向腔外侵犯以及邻近和远处转移等,CT检查也有很大价值。当然,胃肠管腔内病变情况主要仍依赖于钡剂造影和内镜检查及病理活检。
骨关节疾病,多数情况可通过简便、经济的常规X线检查确诊,因此使用CT检查相对较少。