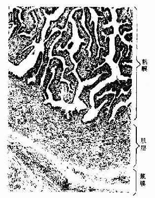
输卵管主要分漏斗部、壶腹部、峡部和子宫部,管壁均由粘膜、肌层和浆膜三层组成。
粘膜形成许多纵行而分支的皱襞,壶腹部的皱襞最发达,高而多分支,故管腔不规则(图17-10);至子宫部的皱襞渐减少。粘膜上皮为单层柱状。由纤毛细胞和分泌细胞组成(图17-11)。纤毛细胞以漏斗部和壶腹部最多,至峡部和子宫部逐渐减少,纤毛向子宫方向摆动,使卵移向子宫并阻止病菌进入腹膜腔.分泌细胞表面有微绒毛,顶部胞质内有分泌颗粒,其分泌物构成输卵管液。输卵管上皮细胞在卵巢雌激素和孕激素的作用下,随月经周期而有变化。雌激素促进输卵管上皮细胞的生长的功能活动,在子宫内膜增生晚期(排卵前)。纤毛细胞变成高柱状,纤毛增多,分泌细胞顶部充满分泌颗粒,功能旺盛。至分泌晚期,两种细胞均变矮,分泌细胞的分泌颗粒排空,纤毛细胞的纤毛也减少。在月经期和妊娠期,上皮细胞矮小。粘膜固有层为薄层细密的结缔组织,并有少量散在的平滑肌。
肌层以峡部最厚,由内环行和外纵行两层平滑肌组成。壶腹部肌层较薄,环行肌明显,纵行肌散在分布。输卵管浆膜由间皮和富含血管的疏松结缔组织组成。

图17-10 人输卵管壶腹部 HE × 83

图17-11 输卵管上皮