您所在的位置:首页 > 专题栏目 > 便秘专题 > 文献资料 用户登录 新用户注册
慢传输型便秘结肠肌间神经丛超微结构改变

慢传输型便秘结肠肌间神经丛超微结构改变

世界华消化杂志 1999年第12期第7卷 研究原著

作者:高峰 张胜本 张连阳 蔡文琴 童卫东 李发智 李文惠

单位:高 峰 李发智 李文惠 (中国民解放军兰州军区总医院普外科 甘肃省兰州市 730050); 张胜本 张连阳 童卫东 (中国民解放军第三军医大学大坪医院野战外科研究所普外科 重庆市 400042); 蔡文琴 (中国民解放军第三军医大学组织学与胚胎学教研室 重庆市 400038)

关键词:便秘;结肠肌间神经丛/超微结构;结肠肌间神经丛/病理学

  摘 要 目的 慢传输型便秘(STC)病因不清、症状顽固、临床处理较困难.进一步探讨其发生和发展的病理学基础.方法 应用电镜技术对14例STC患者和11例非梗阻性直肠癌患者经手术切除的乙状结肠标本进行了对照研究.结果 与对照组相比,STC患者结肠肌间神经丛的超微病理改变表现为:神经元及其突起有十分明显的退行性变,轴突及树突空化呈网格状结构,胞质内出现空泡及脂褐素等;轴突末端膨体及突触前区内突触小泡含量明显减少,大部分突触小泡出现空化.结论 STC患者结肠肌间神经丛有明显的神经病理学改变,存在递质耗竭或递质合成、传输障碍等现象,它是STC患者肠道传输减慢的超微病理基础.这种改变可能与STC患者长期滥用接触性泻剂有关.

  中国图书馆分类号 R574.62

Ultrastructural abnormalities of colonic myenteric plexus in patients with slow transit constipation

GAO Feng LI Fa-Zhi LI Wen-Hui(Department of General Surgery,Chinese PLA General Hospital of Lanzhou Command area,Lanzhou 730050,Gansu Province,China)

  zHANG Sheng-Ben ZHANG Lian-Yang TONG Wei-Dong(Department of General Surgery,Institute of Field Surgery,Daping Hospital,Third military Medical University

  cAI Wen-Qin(Department of Histology and Embryology,Third Military Medical University,Chinese pLA)

  Abstract AIM The etiology of slow transit constipation (STC) is yet poorly understood and the symptoms are intractable.This study aims to investigate the ultrastructural features of the colonic myenteric plexus in patients with STC.METHODS By using electron microscopic technique,resected sigmoid colon specimens from 14 patients with STC and 11 nonobstructed rectal adenocarcinoma controls were studied,the ultrastructural neuropathology of myenteric plexus was examined.RESULTS In patients with STC,significant retrograde degeneration,vacuolization and lipofusion were demonstrated in the neurons.Nerve endings and vavicosities showed a significant decrease in neurosecretory granules.Vacuolar degeneration was showed in the synaptic vesicles.CONCLUSION There is a distinct ultrastructural abnormality of colonic myenteric plexus in patients with STC.The reduction of functioning nerve elements is probably of morphological correlation to clinically evident disturbances of bowel motility.It is probably associated with contact laxatives abused by the patient.

  Subject headings constipation;colonic myenteric plexus/ultrastructure;colonic myenteric plexus/pathology

  0 引言

  便秘是临床上最常见的症状之一,可继发于多种疾病或药物的副作用[1,2].慢传输型便秘(slow transit constipation,STC)是指由于胃肠道传输减慢而致的便秘,其特点为大便次数减少,便意消失、伴腹胀等,多发生于育龄期妇女[3].STC病因不清,症状顽固,治疗困难,有的最终需行结肠切除术进行治疗[4,5].目前研究发现STC患者结肠肌间神经丛有十分明显的病理改变,某些神经递质浓度比例失调[2,6-8],但有关其肌间神经丛的超微病理学改变尚未见研究报道.为了深入探讨其发生发展的超微病理学基础,我们对经手术切除的14例STC患者乙状结肠标本进行了对照研究,重点观察结肠肌间神经丛超微结构改变.现报告如下.

  1 材料和方法

  1.1 材料 STC组14例,男1例,女13例;年龄26岁~68岁,平均44岁;病程1a~30a,平均10a.主要症状为大便次数减少,伴腹胀等,大便次数开始为3d~5d一次,逐渐演变为7d~14d一次.最后有10例是靠大剂量接触性泻剂维持排便,如不服泻剂则不排便.14例患者均有长期服用大黄、番泻叶、比沙可啶(Bisacodyl)和果导片等接触性泻剂史1a~20a,钡灌肠和纤维结肠镜检查仅有一例有结肠脾区多发性炎性息肉,其余病例均正常.口服标志物法测定结肠通过时间,80%标志物排出时间均在5d以上,其中全结肠传输缓慢10例,左半结肠传输缓慢4例,14例均采用全结肠切除、回肠直肠吻合术治疗,疗效满意.对照组11例直肠腺癌患者,男7例,女4例;年龄47岁~78岁,平均65岁;无癌性梗阻,无便秘症状,无服用泻药史.钡灌肠及纤维结肠镜检查除直肠癌表现外,其余结肠粘膜均正常.结肠通过时间测定80%的标志物排出时间均在3d之内.

  1.2 方法 手术在无缺血、未挤压的情况下切取距直乙交界处约10cm(STC组)或距肿瘤上缘至少15cm、肉眼观察无肿瘤浸润(对照组)的乙状结肠全层组织一块,约1cm×1cm大小.立即投入30mL/L戊二醛,20min后用锋利刀片切成约1cm的小块,再投入30mL/L戊二醛固定24h,梯度丙酮脱水,环氧树脂618包埋.切片500nm~700nm,用透射电镜(JEM-2000EX,日本电子公司)观察肌间神经节细胞体,轴索及末梢等的病理改变.

  2 结果

  2.1 对照组结肠肌间神经丛 对照组结肠肌间神经丛神经节内神经元,神经胶质细胞及其突起组成神经毡,组成神经元与胶质细胞之比约2~3∶1.神经节外无厚的结缔组织被膜,仅被以一层基板,其外偶见有成纤维细胞的纤细突起.神经元胞质内可见丰富的粗面内质网、核糖体及滑面内质网,高尔基器发达.细胞核内以常染色质为主,核淡染,有清晰的核仁.神经毡内可见神经轴突及树突的横切面与纵切面,轴突内有大量微管、神经丝等,神经膨体内含有不同类型的突触小泡.

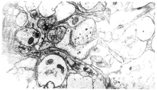
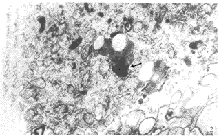
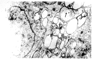
  2.2 STC组患者结肠肌间神经丛 与对照组相比,14例STC患者结肠肌间神经丛的超微结构均有明显的病理改变,主要表现在以下两个方面:①神经元及其突起有十分明显的退行性改变,轴突与树突空化呈网格状结构,胶质内出现大小不等的空泡(图1)及脂褐素(图2)等;②轴突末端膨体及突触前区内突触小泡含量明显减少,大部分突触小泡出现空化(图3).

图1 STC组,结肠肌间神经丛明显退行性变,轴突及树突空化呈网格状结构 ×10000

图2 STC组,结肠肌间神经丛神经元胞质内出现大量脂褐素(→) ×12000

图3 STC组,结肠肌间神经丛突触前区内突触小泡含量减少(→),并出现空化 ×8000

  3 讨论

  STC病因不清,症状顽固,治疗非常困难,对于顽固性STC甚至需采用结肠切除术进行治疗[4,5].常规的结肠病理学检查未能发现其结肠壁有明显的病理变化,故STC又被称为慢性特发性便秘(chronic idiopathic constipation)[9,10].越来越多的研究表明STC与其结肠肌间神经丛的病理改变有关[2,6-8].关于STC结肠肌间神经丛的超微结构改变国内外尚未见报道,我们首先观察了STC结肠肌间神经丛的超微病理变化,结果发现STC患者结肠肌间神经丛出现明显退行性变,膨体和突触前区内突触小泡明显减少并出现空化.提示有递质耗竭或递质合成、传输障碍等存在,这与我们以前研究报道的STC患者乙状结肠肌间神经丛内肽能神经递质血管活性肠肽和P物质含量降低等现象相吻合[8].这种改变是STC患者结肠传输功能减弱的神经病理学基础之一.

  Riemann et al[11]对便秘患者结肠粘膜活检标本进行了电镜观察,结果发现长期服用接触性泻剂的便秘患者粘膜下神经细胞轴索发生空泡变性,排列紊乱,轴索截面积增大,神经小管和神经细丝减少,吞活动加强,神经末梢分泌颗粒减少等.这与本研究所发现的肌间神经细胞的变化相似.一般认为粘膜下神经丛与肠粘膜的感觉功能有关,而肌间神经丛与肠蠕动有关.如粘膜下神经丛发生病变,将影响肠粘膜感觉信息的导入,从而使局部反射性的肠蠕动减弱;而肌间神经丛病变则直接影响其对肠蠕动的调节.STC患者结肠肌间神经丛的这种改变是否与长期应用接触性泻剂有关等问题有待进一步研究.

  重庆市科委中青年科技专家基金资助项目,No.950016作者简介:高峰,男,1965-02-18生,陕西省米脂县,汉族.1989年延安医学院医疗系毕业,学士,1994年第三军医大学硕士,主治医师,主要从事肛肠外科疾病的诊治研究,发表论文28篇.

  通讯作者 高锋,730050,甘肃省兰州市小西湖西街58号,中国民解放军兰州军区总医院普外

  tel.+86·931·2340036,Fax.+86·931·2340036

  参考文献

  1 Sonnenberg A,Koch TR.Epidemiology of constipation in the United states.Dis Colon Restum,1989;32:1-8

  2 Park HJ,Kamm MA,Abbasi AM,Talbot IC.Immunohistochemical study of the colonic muscle and innervation in idiopathic chronic constipation.Dis colon Rectum,1995;38:509-513

  3 Bassotti G,Stanghellini V,Chiarioni G,Germani U,Giorgio RD,Vantini i,Morelli A,Corinaldesi R.Upper gastrointestinal motor activity in patients with slow-transit constipation,further evidence for an enteric neuropathy.Dig Dis Sci,1996;41:1999-2005

  4 Pfeifer J,Agachan F,Wexner SD.Surgery for constipation: a review.Dis colon Rectum,1996;39:444-460

  5 Pluta H,Bowes KL,Jewell LD.Long-term results of total abdominal colectomy for chronic idiopathic constipation.Dis Colon Rectum,1996;39:160-166

  6 Schouten WR,ten Kate FJW,de Graaf EJR,Gilberts ECAM,Simons JL,Klück p.Visceral neuropathy in slow transit constipation: an immunohistochemical investigation with monoclonal antibodies against neurofilament.Dis Colon rectum,1993;36:1112-1117

  7 Cortesini C,Cianchi F,Infantino A.Nitric oxide synthase and VIP distribution in enteric nervous system in idiopathic chronic constipation.Dig dis Sci,1995;40:2450-2455

  8 Gao F,Zhang SB,Zhang LY,Chen L.An immunohistochemical study of colonic vasoactive intestinal peptide,substance P and S-100 protein in slow transit constipation.Chin J New Gastroenterol,1997;5:141-143

  9 Preston DM,Lennard-Jones JE.Severe chronic constipation of young women:‘idiopathic slow transit constipation'.Gut,1986;27:41-48

  10 MacDonald A,Baxter JN,Finlay IG.Idiopathic slow-transit constipation.Br j Surg,1993;80:1107-1111

  11 Riemann JF,Schmidt H,Zimmermann W.The fine structure of colonic submucosal nerves in patients with chronic laxative abuse.Scand J gastroenterol,1980;15:761-768

收稿日期 1999-08-11 修回日期 1999-11-08


页面功能 参与评论】【字体: 打印文章关闭窗口
下一编:便秘的研究现状
焦点新闻
·急性白血病儿童血脂、蛋白质和氨基酸代谢变化
·急性白血病患者p53和bcl-2表达的临床意义
·便秘与乳腺癌
·妇女便秘易患乳腺癌
·便秘易使妇女患乳癌
·<sup>99m</sup>Tc-MIBI乳腺肿瘤显像与组织病理学关系
·乳腺癌细针穿刺标本中端粒酶活性的临床意义
·乳腺癌端粒酶活性的研究
温馨提示:如果您怀疑自己有某种健康问题,可到健康社区交流咨询或尽快去医院就医治疗。

栏目列表