哮喘与慢性支气管炎的定量病理学比较研究
临床与实验病理学杂志 1999年第3期第15卷 论著
作者:高冬霞 廖松林 刘从容 梁英 张蔚 姚天樵
单位:高冬霞 廖松林 刘从容(北京医科大学病理学系,北京 100083);梁英 张蔚 姚天樵(北京安贞医院呼吸科,北京 100029)
关键词:哮喘;慢性支气管炎;活组织检查;支气管粘膜活检;定量病理学
摘要 目的:探讨哮喘的炎症学说,并比较支气管哮喘(简称哮喘)与慢性支气管炎(简称慢支)气道炎症的病理异同。方法:经纤支镜行大气道粘膜活检将14例哮喘和13例慢支病人支气管粘膜活检组织以及5例无呼吸病史的意外死亡者尸体解剖的相应部位气道粘膜组织,通过常规病理切片,进行显微镜下双盲观察,采用多指标的定量病理计分及统计学处理,进行比较研究。其中8例哮喘、8例慢支进行了电镜观察。结果:与正常组相比,哮喘组和慢支组气道粘膜上皮均有不同程度的损伤、增生和鳞状上皮化生(P<0.05),并且在粘膜水肿、纤维化程度和基底膜厚度方面均有明显改变(P<0.05)。哮喘与慢支相比,哮喘的基底膜明显厚于慢支(P<0.05)。哮喘与慢支均在其粘膜和粘膜下层有明显的各种炎细胞的浸润,但哮喘组的嗜酸性粒细胞和肥大细胞高于慢支组(P<0.05)。电镜下可见哮喘组有肥大细胞不同程度的脱颗粒现象,而慢支组未见到。结论:哮喘和慢支均为气道慢性炎症,但二者在临床及病理特点上存在着一定的差异,这为临床诊断和治疗哮喘提供了一定的病理学依据。
分类号 R562 文献标识码 A
文章编号 1001-7399(1999)03-0212-04
Comparative morphometrical study of pathology between asthma and chronic bronchitis
Gao Dongxia, Liao Songlin, Liu Congrong et al
(Dept of Pathol, Beijing Medical University, Beijing 100083)
ABSTRACT Purpose To investigate inflammation theory of asthma, distinguish the pathological nature of airway inflammation between asthma and chronic bronchitis (CB), and to provide pathological basis for clinical diagnosis and treatment. Methods By passing the fiberoptic bronchoscope into large airway airway, endobronchial biopsies were obtained in 14 subjects with asthma and 13 subjects with CB. For comparison, 5 normal bronchial autopsies were also abtained. All these samples were assessed for microscopical evidence of inflammation by assigning them scores according to the quantitation of inflammatory cell. Eight cases of asthma and eight cases of CB were observed electron microscopically. Results Comparing with normal autoposies, the airway epithelia in asthma and CB demonstrated more evidence for damage, hyperplasia and squamous metaplasia (P<0.05). Further more, mucosa edema, fibrosis as well as thickness of basement membrane were obvious in asthma and CB subjects. In addition, Although there were many types of inflammatory cells in asthma and CB, eosinophils and mast cells made up the majority of the infiltrating cells in asthma (P<0.05). In asthma mast cell degranulation was observed electron microscopically in different degree, but in CB it was not observed. Conclusion Both asthma and CB are chronic airway inflammation, but there are many clinical and pathological differences between them.
KEY WORDS asthma; chronic bronchitis; biopsy; bronchical mucosa; morphometrical pathology
哮喘是一种常见的慢性呼吸道疾病,其患病率和死亡率有上升趋势。随着支气管哮喘系气道粘膜的慢性炎症学说的提出〔1,2〕,临床上对其诊断产生了混乱。慢支也是一种气道慢性炎症,有学者认为在组织上二者炎症不同,是两种疾病〔2〕;但有的学者认为二者的气道病理改变难以区分〔3〕;也有学者认为二者病变之间只有量的不同,而无本质的区别〔4〕。另外,慢支主要的病变是杯状细胞增生及纤毛柱状细胞减少,并有粘液腺肥大和增生,哮喘亦有粘液分泌亢进。因此,二者气道病变究竟有无差异,有何差异,病理上能否根据其病理特点进行诊断及鉴别诊断是值得探讨的问题。
1 材料和方法
1.1 病例选择 根据国内最新诊断标准〔5,6〕,选择1995~1998年北京安贞医院呼吸内科的门诊和住院哮喘与慢支病人共27人,受试者均需除外其它疾病引起的哮喘、咳嗽,为非急性发作期病人,其中哮喘14例(男7例,女7例),年龄20~76岁,病程15天~35年,病人中有2例口服少量肾上腺皮质激素半年以上,电镜检查8例。慢支13例(男8例,女5例),年龄23~70岁,病程3~40年,电镜检查8例。正常组5例,选自无任何呼吸道病史的意外死亡的尸检材料,均为男性,平均年龄为30岁。
1.2 方法 采集病史,体格检查,采末稍血做常规及白细胞分类计数、嗜酸性粒细胞计数,测定血清免疫球蛋白IgE。
纤支镜检查:术前48 h停用激素及抗组胺药物,常规术前准备,纤支镜OLYMPUS IT20经气管插入,直视下观察支气管粘膜,而后在右上叶支气管开口近端嵴部或右上叶段支气管开口近端处,钳取活体组织4~6块,所取标本立即分别用10%福尔马林和2%戊二醛液固定。
病理检查:光镜标本常规石蜡包埋、切片、HE染色。光镜下双盲法观察,采用半定量病理学方法〔7〕,即将(-~
)数量化为(0~8):-为0,+为2,
为4,
为6,
为8,用多指标观察支气管粘膜的病理变化,并行各类炎细胞计数(取5个高倍视野的均数即平均每个高倍视野炎细胞计数)。并连续观察计数100个上皮细胞,杯状细胞大于20个表示增多,柱状细胞小于80个表示减少。
电镜标本经环氧树酯包埋、切片、定位于粘膜下层,制备超薄切片,在10个铜网上计数嗜酸性粒细胞、肥大细胞等炎细胞,并观察肥大细胞的脱颗粒状态,脱颗粒程度采用0~
5级定量法。分别对肥大细胞的各种脱颗粒状态进行细胞计数。
1.3 统计学处理 对哮喘组、慢支组和正常组3组资料逐项进行比较,采用t检验。
2 结果
2.1 临床资料 显示哮喘组年龄较年轻(平均47岁),病程较短(平均11年),血清IgE明显增高(P<0.05);慢支组病人年龄较大(平均59岁),病程较长(平均21年),多有吸烟史(62%)。
2.2 光镜观察
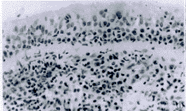
2.2.1 一般特性 与正常组相比,哮喘组和慢支组的粘膜上皮增生、鳞状上皮化生、粘膜水肿、纤维化程度以及基底膜厚度均有明显改变(表1)。二者均显示不同程度的上皮糜烂、脱落以及杯状细胞增多和纤毛柱状上皮的减少。哮喘组与慢支组相比,哮喘组的基底膜厚度(3.6±1.4)明显厚于慢支组(2.3±1.4,P<0.05)(图1),但二者在杯状细胞的增多(哮喘为7/14即50%,慢支为6/13即46%)和纤毛柱状上皮的减少(哮喘为8/14即57%,慢支为7/13即54%)上差异无显著性。

图1 哮喘组的基底膜明显增厚(箭头示).HE×200
表1 哮喘组、慢支组与正常组光镜对比观察
| 分组 |
粘膜水肿 |
炎细胞密度 |
纤维化程度 |
基底膜厚度 |
平滑肌增生 |
上皮增生 |
上皮鳞化 |
| 正常组 |
0.8±1.1 |
1.6±0.9 |
1.6±0.9 |
0.8±1.1 |
2.0±1.4 |
0.8±1.1 |
0 |
| 哮喘组 |
3.0±1.5** |
2.7±1.3 |
3.5±1.8* |
3.6±1.4** |
3.3±2.4 |
3.1±1.5** |
2.1±1.9* |
| 慢支组 |
3.3±1.9* |
2.3±1.2 |
3.8±2.2* |
2.3±1.4* |
2.8±1.9 |
3.2±1.8* |
2.7±1.6* |
与正常组相比:*P<0.05,**P<0.012.2.2 各类炎细胞计数(表2) 与正常组相比,哮喘组和慢支组在嗜酸性粒细胞、肥大细胞、淋巴细胞以及单核组织细胞差异均有显著性(P<0.05)。哮喘组与慢支组相比,哮喘组仅在嗜酸性粒细胞(16/HPF)和肥大细胞(4个/HPF)二者显示高于慢支组(P<0.05)。
表2 哮喘组、慢支组及正常组各种炎细胞数(个/HPF)比较
| |
哮喘组 |
慢支组 |
正常组 |
| 嗜酸性粒细胞 |
16 |
1 |
0 |
| 肥大细胞 |
4 |
1 |
0 |
| 淋巴细胞 |
39 |
32 |
10 |
| 中性粒细胞 |
2 |
3 |
1 |
| 组织细胞 |
6 |
4 |
1 |
| 浆细胞 |
2 |
3 |
1 |
2.3 电镜观察 结果详见表3,哮喘组8例,除2例长期服用激素者外,其余6例均可见到肥大细胞脱颗粒(图2),慢支组8例中,均未见到明显肥大细胞脱颗粒。哮喘组与慢支组比各类炎细胞计数,电镜观察差异未见显著性。

图2 电镜下哮喘组肥大细胞的掊颗粒(箭头示颗粒已脱完).EM×1400
表3 哮喘与慢支电镜下肥大细胞计数及脱颗粒状态
(0~
计数法)
| 分组 |
序号 |
0 |
+ |
 |
 |
 |
| 哮喘组 |
1 |
200 |
50 |
50 |
50 |
100 |
| |
2 |
37 |
5 |
3 |
3 |
8 |
| |
3 |
- |
- |
1 |
3 |
1 |
| |
4 |
1 |
2 |
2 |
4 |
- |
| |
5* |
- |
- |
- |
- |
- |
| |
6* |
- |
- |
- |
- |
- |
| |
7 |
- |
1 |
- |
- |
- |
| |
8 |
- |
7 |
4 |
4 |
3 |
| 慢支组 |
1~8 |
全部无脱颗粒细胞 |
0:无脱颗粒细胞数;+:胞内25%颗粒脱出细胞数;
:胞内50%颗粒脱出细胞数;
:胞内70%颗粒脱出细胞数;
:颗粒全部脱出细胞数;*激素治疗中3 讨论
3.1 哮喘和慢支的炎细胞特征 本组收集的病例均根据国内最新哮喘临床诊断标准〔5〕,具有典型哮喘特点因哮喘而住院的病人,都是内源性或特异体质性哮喘(idiosyncratic asthma)及继发性哮喘。研究表明哮喘和慢支均为慢性气道炎症性疾病,二者的粘膜层及粘膜下层均有不同程度的各种炎细胞的浸润,但哮喘炎症细胞中以嗜酸性粒细胞和肥大细胞尤为显著,提示哮喘是一种以嗜酸性粒细胞和肥大细胞浸润为特点的慢性气道炎症,且在早期即可表现出该特点,这一结果与国外报道一致〔1,2,9〕。这为支气管活检的哮喘的诊断提供了一定的形态学根据。
3.2 气道粘膜改变 哮喘和慢支均有不同程度的上皮损伤(上皮糜烂、脱落、增生和鳞状上皮化生),粘膜水肿,纤维化以及基底膜增厚,但是哮喘的基底膜增厚尤为明显,有学者提出当哮喘病变持续时,粘膜基底膜增厚,基底膜不仅有机械性支持作用,而且还影响上皮细胞的功能〔8〕。可见基底膜在哮喘的发病中起着一定的作用,但其产生的机制尚待进一步探讨。
3.3 平滑肌的增生 在国外文献中,有人提出哮喘中还有明显的平滑肌增生〔8〕,而本研究哮喘组中确有平滑肌增生现象,但与正常组和慢支组比较差异无显著性,这可能是由于取材深度和病例数不足所致。
3.4 肥大细胞的作用 肥大细胞可以释放一系列酶和产生一系列细胞因子,这些酶可以增强哮喘的炎症;细胞因子可以直接影响炎细胞的活性,特别是嗜酸性粒细胞和嗜碱性粒细胞的活性〔10〕。本组资料提示哮喘组肥大细胞明显多于慢支组,且在电镜下有明显脱颗粒,而慢支组8例中无一例有脱颗粒,哮喘组中2例较长期应用激素者则无脱颗粒现象。这些结果提示肥大细胞的增多及脱颗粒可以作为诊断哮喘的重要依据。
3.5 电镜观察表明 哮喘组肥大细胞除了2例长期激素治疗者外均有不同程度的脱颗粒,而慢支组8例中无1例有脱颗粒,此结果提示:(1)肥大细胞在超微结构上脱颗粒变化可以作为诊断根据之一;(2)激素治疗哮喘可能是通过抑制肥大细胞脱颗粒来发挥抑制哮喘的作用。这为临床上用激素治疗哮喘提供了形态学依据;肥大细胞脱颗粒可作为激素治疗哮喘反应的指标之一。电镜下各类炎细胞计数在哮喘组和慢支组相比差异无显著性,可能是电镜观察范围有较大局限性所致。
哮喘和慢支在临床发病年龄、病程及血清IgE含量均明显不同;光镜下哮喘是以嗜酸性粒细胞和肥大细胞为特点的慢性炎症,并有显著基底膜增厚特点;电镜结果示哮喘组肥大细胞有不同程度的脱颗粒,而慢支组则无此改变。综上所述,哮喘是一种慢性气道炎症,但它是一种不同于慢支的有一定独特形态特点的炎症性疾病。该结论在开胸、穿刺活检及尸解组织的哮喘的诊断和鉴别诊断中亦有一定意义,并为临床哮喘的诊断和治疗提供了一些病理学依据。
作者简介:高冬霞,女,34岁,讲师。研究方向:呼吸与妇科病理
廖松林,男,65岁,教授,博士生导师。研究方向:外科病理学
参考文献
1,Holgate ST, Wilso JR, Howarth PH. New insights into airway inflammation by endobronchial biopsy. Am Rev Respir Dis, 1992;145:2~6
2,Ollerenshaw SL, Woolcock AL. Characteristics of the inflammation in biopsies from large airways of subjects with asthma and subjects with chronic airflow limitation. Am Rev Respir Dis, 1992;145:922~927
3,Jeffery PK. Histological features of the airways in asthma and COPD. Respiration, 1992;59(suppl):13~16
4,Gross NJ. Airway inflammation in COPD. Chest,1995;107(suppl):201~213
5,支气管哮喘防治指南(支气管哮喘的定义、诊断、治疗、疗效判断标准及教育和管理方案).中华结核和吸疾病杂志,1997;20(5):261~265
6,中华医学会呼吸病学会. 慢性支气管炎临床诊断及疗效判断标准(1979年修订).中华结核和呼吸疾病杂志,1980;3(1):61~62
7,何权瀛,穆魁津,李吉友等.小气道功能异常与病理变化之间关系的初步探讨.中华结核和呼吸疾病杂志,1985;8(4):233~237
8,Laitinen A, Laitinen LA. Airway morphology: Epithelium/Basement membrane. Am Respir Crit Care Med, 1994;150:14~17
9,Haahtela T, Laitinen A, Laintinen LA. Using biopsies in the monitoring of inflammation in asthmatic patients. Allergy, 1993;48:65~69
10,Wasserman SL. Mast cells and airway inflammation in asthma. Am J Respir Crit Care Med, 1994;150:39~41
收稿日期:1998-09-23
修稿日期:1998-12-30