您所在的位置:首页 > 专题栏目 > 胃病专题 > 文献资料 用户登录 新用户注册
幽门螺杆菌及其cagA因子对胃粘膜中原癌基因蛋白表达的影响

幽门螺杆菌及其cagA因子对胃粘膜中原癌基因蛋白表达的影响

癌症 2000年第5期第19卷 基础研究

作者:陈奕贵 陈玉丽 吴婷 王承党 刘豫瑞 庄则豪 潘玉凤

单位:陈奕贵 陈玉丽 吴婷 王承党 刘豫瑞 庄则豪(福建医科大学附属第一医院消化研究室福建 福州350005);潘玉凤(福建医科大学附属第一医院胃镜室,福建 福州350005)

关键词:幽门螺杆菌;细胞毒素相关基因;胃肿瘤;bcl-2;Bax;p21-WAF1;p16-MTS1

  【摘要】目的:探讨幽门螺杆菌(Hp)感染特别是其细胞毒素相关基因(cagA因子)与胃粘膜中bcl-2、Bax、p21-WAF1、p16-MTS1蛋白表达异常的关系,从而从分子水平初步探讨cagA是否为一致癌因子及其可能的致癌的机理。方法:1、利用血抗Hp-IgG、RUT、PCR-Hp-DNA3种方法检测270例病的Hp感染情况及cagAHp感染情况;2、利用免疫组化S-P法检测胃癌演化系列胃粘膜中bcl-2、Bax、p21-WAF1、p16-MTS1蛋白的表达;3、利用SPSS统计软件包作统计学分析处理。结果:1、在CSG、CAG、IM阶段,Hp感染促进胃粘膜中bcl-2、Bax的表达,cagA因子促进bcl-2、Bax、p21-WAF1、p16-MTS1的表达,(P<0.05);在胃癌阶段,Hp感染与胃腺癌粘膜中bcl-2、p21-WAF1、p16-MTS1的低表达相关(P<0.05),但与cagA因子无关(P>0.05);2、在男性CSG、CAG、IM系列胃粘膜中bcl-2、Bax表达先高后低,与cagAHp感染率呈正相关,而p16-MTS1、p21-WAF1表达先低后高,与cagAHp感染率呈负相关(P<0.05)。结论:Hp的cagA因子可能通过影响癌前病变患者胃粘膜中bcl-2、Bax、p21-WAF1、p16-MTS1的表达,成为胃腺癌发生的“启动子”之一;Hp可能通过非cagA因子途径影响bcl-2、p21-WAF1、p16-MTS1的表达,进一步影响胃腺癌的发展。

  中图分类号:R735.2文献标识码:A文章编号:1000-467X(2000)05-0419-04

The effect of the Helicobacter pylori and its cagA factor in the expression of proto-oncoprotein in the gastric mucosa

CHEN Yi-gui, CHEN Yu-li, WU Ting, et al.

  (Department of Gastroenterology, and Department of Gastric Endoscope, The First Affiliated Hospital of Fujian Medical University, Fuzhou 350005,P.R.China)

  【Abstract】 Objective: To investigate the association between the aberrant expression of the bcl-2, Bax, p16-MTS1 and p21-WAF1 proteins and infection of Helicobacter pylori(Hp) in the multiple process of gastric carcinogenesis. Then, to explore the possible carcinogenic mechanisms of Hp and its cagA factor in the molecular level. Methods: 1.The Hp in specimens from 270 patients with chronic gastritis or gastric adenocarcinoma(GAC) were detected by PCR、 RUT and the serum anti-Hp-IgG detection three methods, its cagA gene was detected by PCR. 2.The bcl-2, Bax, p16 and p21 proteins in gastric biopsy specimens were detected by immunohistochemical methods(with S-P kit). 3. The data were analyzed by computer with the SPSS statistic software. Results: 1. Hp infection would promote the expression of Bax, bcl-2 in gastric subjects with chronic superficial gastritis(CSG), chronic atrophic gastritis(CAG) or intestinal metaplasia(IM), and the cagA factor stimulated the expression of Bax, bcl-2, p16 and p21 in the CSG, CAG or IM subjects(P<0.05). The correlation between Hp infection and the lower expression of bcl-2, p21 and p16 in GAC subjects was seen(P< 0.05), no correlation was noted with cagA factor(P>0.05); 2. In the CSG, CAG and IM sequence of male patients, the expression of Bax, bcl-2 went up in the CAG patients, and then went down in the IM patients, the positive correlation between the expression of Bax, bcl-2 and the rates of cagA Hp infection was noted (P<0.05). Meanwhile, the expression of p16, p21 went down in the CAG patients, and then went up in the IM patients (P< 0.05), the negative correlation between the expression of p16, p21 and the rates of cagA Hp infection was seen (P< 0.05). Conclusions: The cagA factor may become one of the promotors of gastric carcinogenesis through influencing the expression of Bax, bcl-2, p12 and p21 in gastric mucosa with CSG, CAG or IM. Hp may involve in the development of GAC through influencing the expression of bcl-2, p16 and p21 via non-cagA factor pathways.

  Key words: Helicobacter pylori; CagA gene; Stomach neoplasms; Bax; bcl-2; p16-MTS1; p21-WAF1

  近年来大量研究表明幽门螺杆菌(Helicobacterpylori,Hp)感染与胃癌(Gastric Carcinoma,GC)发生相关。虽然Hp确切的致癌机制及致癌因子尚不明了。但目前研究认为:Hp感染可影响胃粘膜增生和凋亡,引起增生与凋亡失衡,增加了未修复基因及基因突变的可能性而致癌;细胞毒素相关蛋白(Cytotoxin-associated protein,CagA,其基因为Cytotoxin-associated geneA,cagA)为Hp重要的毒力因子,可能是致癌因子之一;癌基因bcl-2家族中bcl-2、Bax,抑癌基因中p21-WAF1/cip1/sdil、p16-MTS1/INK4a/CDKN2(文后均简称p21、p16)与胃腺癌(Gastric Adenocarcinoma,GAC)发生、发展相关,其中bcl-2抑制细胞凋亡,Bax、p21、p16促进细胞凋亡。Hp感染,特别是Hp中cagA因子,是否与胃腺癌演化系列组织中以上四种蛋白变化相关,目前尚未见类似报道。本课题通过同时检测胃粘膜中的Hp及其cagA基因和bcl-2、Bax、p21、p16蛋白,从分子水平探讨Hp及其cagA因子可能的致癌机理。

  1对象与方法

  1.1研究对象与标本收集

  1.1.1对象:随机选择1998年2月~6月来我院接受胃镜检查及行胃腺癌切除术的福州地区患者(近4周未服抗Hp药物者)共270例,其中男160例,女110例,年龄17~76岁,平均46±18岁。

  1.1.2标本收集:每例受检者采耳垂血一滴,滴于抗Hp-IgG快速测试条上;胃镜检查时在胃窦距幽门3cm以内活检二块胃粘膜组织,一块即刻行RUT检测,另一块送于-70℃冰箱保存,备用于PCR-Hp-DNA检测;另在胃窦、胃体及病灶各活检2块组织,中性福尔马林固定,备用于病理检查及免疫组化检测。

  1.2方法

  1.2.1血抗Hp-IgG检测:同本课题第一部分[1]

  1.2.2RUT:同本课题第一部分[1]

  1.2.3PCR-Hp-16SrRNA基因:同本课题第一部分[1]

  1.2.4PCR-Hp-cagA:同本课题第一部分[1]

  1.2.5诊断Hp感染(Hp现症感染或Hp)标准:同本课题第一部分[1]

  1.2.6病理分组:同本课题第一部分[1]

  1.2.7标本分类、分组:同本课题第一部分[1]

  1.2.8免疫组化(Immunohistochemistry,IHC):随机选出147例标本(具体见下表1)。每例标本连续切片6片,每片厚4μm。每例标本用IHC法检测bcl-2、Bax、p21及p164种蛋白。选用福州迈新公司即用型抗体(BaxMAB-0354,bcl-2MAB-0014,p16-MTS1RAB-0223,p21-WAF1MAB-0235),高压锅煮沸抗原修复(检测Bax、Bcl2、p21需此步骤),S-P法检测,DAB染色,苏木素复染,中性树胶封片。一抗用PBS代替作阴性对照,阳性对照片由迈新公司提供(在室温22℃下操作)。显微镜下计算500个细胞,以标记指数(LabelingIndexes,LI,亦称weightedScore)作为结果。LI计算方法为:染色强度(淡为1分,中为2分,强为3分)×阳性细胞数(0%为0分,1%~25%为1分,26%~50%为2分,51%~75%为3分,76%~100%为4分)。

  统计学处理:同本课题第一部分[1]

  2结果

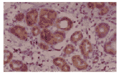
  IHC结果显示:Bax、bcl-2蛋白主要表达在细胞浆,部分胞核有表达;p16、p21蛋白胞核、胞浆均有表达,p21蛋白以胞核表达为主(见图片1~4)。

  2.1Hp感染及其cagA因子与CSG、CAG、IM患者胃粘膜中Bax、bcl-2、p16、p21蛋白表达的关系

  Hp感染促进CSG、CAG、IM粘膜中Bax、bcl-2的表达,对p16、p21表达无明显影响(均与Hp组比,P<0.05);cagAHp感染使CSG、CAG、IM粘膜中Bax、bcl2、p16、p21表达均提高,尤以Bax、bcl2异常高表达为甚(均与cagAHp或Hp组比,P<0.01);cagA因子与Bax、bcl2p16、p21高表达相关(P<0.05)。(见表2~5)

  2.2Hp感染及其cagA因子与胃腺癌粘膜中Bax、bcl-2、p16、p21表达的关系

  CagAHp感染对胃腺癌粘膜中Bax、bcl-2、p16、p21表达影响不明显(与cagAHp组比,P>0.05),cagA因子与胃腺癌粘膜中Bax、bcl-2、p16、p21表达无关(P>0.05)。Hp感染组胃腺癌中bcl-2、p16、p21表达下降(与Hp组比,P<0.05),而Bax表达变化不明显(与Hp组比,0.05)。(见表2~5)

表1 147例标本作免疫组化检测bcl-2、Bax、p21、p16蛋白

Hp分类 病理分组(例)  
CSG CAG IM GAC 合计
cagA+Hp 12 14 13 16 55
cagA-Hp 12 8 11 11 42
Hp- 12 7 13 18 50
合计  36 29 37 45 147

表2 Hp感染及其cagA因子与胃腺癌演化系列

  患者胃粘膜中Bax表达的关系

Hp分类 Bax表达(LI值)(±s)
CSG CAG IM GAC
cagAHp  8.80±2.02a 9.00±0.77a 7.17±1.20a 6.71±1.21
cagAHp 1.87±0.23 4.00±1.23 1.17±0.73 7.38±1.32
Hp+ 5.02±1.58b1 7.57±0.83b1 5.00±1.03b2 7.15±1.30
Hp 1.14±0.06 1.50±0.10 3.00±0.56 6.63±1.01
合计  3.51±1.51  6.20±1.37 4.48±0.83 7.00±1.23

aP<0.01,vs同组cagAHp类;

  b1P<0.01,b2P<0.05,vs同组Hp-类Hp-分类

表3 Hp感染及其cagA因子与胃腺癌演化系列患者

  胃粘膜中bcl-2表达的关系

Hp分类 bcl-2表达(LI值)(±s)
CSG CAG IM GAC
cagAHp  6.00±2.03a 6.20±1.87a 4.60±0.36a 3.29±1.05
cagAHp 2.75±0.25 3.00±0.37 1.50±0.11 3.63±0.97
Hp+ 4.05±1.56b2 5.29±1.56b1 3.63±0.60b2 3.47±1.03b2
Hp 1.65±0.15 1.25±0.07 2.10±0.30 6.36±1.06
合计  2.98±1.34 .39±1.30 3.13±0.55  4.39±1.06

aP<0.01,vs同组cagAHp类;

  b1P<0.01,b2P<0.05,vs同组Hp

表4 Hp感染及其cagA因子与胃腺癌演化系列

  患者胃粘膜中p16表达的关系

Hp分类 p16表达(LI值)(±s)
CSG CAG IM GAC
cagAHp  7.00±1.35a1 4.40±1.02a2 5.80±1.03a1 5.90±1.33
cagAHp 3.00±1.01 3.00±0.87 3.33±0.31 6.03±1.21
Hp+ 5.00±1.27 3.63±0.96 4.88±1.21 5.97±1.23b
Hp 6.13±1.06 3.00±0.53 4.90±0.72 7.50±1.33
合计  5.56±1.34 3.86±0.87 4.88±0.98 6.52±1.34

a1P<0.01,a2P<0.05,vs同组cagAHp类;

  bP<0.05,vs同组Hp

表5 Hp感染及其cagA因子与胃腺癌演化系列

  患者胃粘膜中p21表达的关系

Hp分类 p21表达(LI值)(±s)
CSG CAG IM GAC
cagAHp  2.75±0.37a1  2.10±0.34a1 1.83±0.33a2 4.36±0.97
cagAHp 1.00±0.08 0.60±0.10 0.70±0.11 3.62±0.63
Hp+ 1.70±0.39 1.75±0.35b  1.44±0.32 3.72±0.86b
Hp 2.31±0.17 0.50±0.09 1.00±0.10 5.94±0.17
合计  1.97±0.38 1.54±0.34 1.29±0.30 4.40±0.85

  a1P<0.01,a2P<0.05,vs同组cagAHp类;

  bP<0.05,vs同组Hp

图1Bax在慢性胃炎中的表达-阳性染色为棕黄色,Bax主要表达在胞浆,部分胞核染色,DAB染色×400

图2bcl-2在胃癌中的表达-阳性染色为棕黄色,Bcl-2主要表达在胞浆,DAB染色×400

图3p16在慢性胃炎中的表达-阳性染色为棕黄色,p16在胞核、胞浆均有染色,DAB染色×400

图4p21在胃癌中的表达-阳性染色为棕黄色,p21主要表达在胞核、胞浆表达少,DAB染色×400

表6 男性CSG、CAG、IM患者胃粘膜中Bax、bcl-21、p16、

  P21表达(LI值)与男性cagAHp感染的关系

病理分组 癌基因蛋白表达(±s) 男性cagAHp感染率(%)
Baxa bcl-2a p16b p21b
CSG 3.40±1.41 2.89±1.11 2.03±0.36 5.76±1.41 48.28
CAG 7.02±1.62 5.01±1.31 1.44±0.31 3.60±1.15 83.33
IM 5.38±1.44 3.63±0.81 1.56±0.33 4.77±1.00 73.96

  aP<0.05,与C组呈正相关;bP<0.05,与C组呈负相关

  2.3CSG、CAG、IM系列患者粘膜中Bax、bcl-2、p16、p21表达情况

  在CSG、CAG、IM系列胃粘膜中:Bax、bcl-2表达在CAG阶段开始升高,而p16、p21在此阶段开始下降(P<0.05)(见表2~5合计栏);男性患者胃粘膜中cagAHp率与其Bax、bcl2表达呈正相关,与p16、p21表达呈负相关(P<0.05,见表6)。

  3讨论

  目前Hp的致癌机制研究已深入到细胞动力学及分子生物学水平。Hp在感染早期可同时促进胃粘膜增生和凋亡,但后期出现凋亡趋势下降,而增殖趋势相对上升,引起增生与凋亡失衡。细胞增生明显提高,而凋亡相对减少,增加了未修复基因及基因突变的可能性而致癌。在癌变过程中,Hp可能是基因改变进而组织恶变的促动因素之一[2]

  CagA为Hp重要的毒力因子,许多研究发现,CagAHp株有更高的毒力,cagA可能为Hp的致癌因子之一。本课题第一部分研究表明:cagA因子与福州地区胃腺癌发生相关[1]

  胃癌发生是多基因变异所致的病变和过程,癌基因的高表达和抑癌基因的低表达,公认为是胃癌发生的分子机制之一[3],近年来细胞凋亡和癌发生关系的研究表明:多数肿瘤促进剂通过抑制凋亡起作用,逃避凋亡是肿瘤发生机制之一[4]

  近来研究表明,bcl-2、Bax、p16和p21此四种基因蛋白表达与胃腺癌发生、发展相关[5~8]。故我们选择了检测这四种蛋白来研究Hp及其cagA因子致胃癌的可能机制。

  本文结果提示:Hp感染促进了CSG、CAG、IM患者粘膜中的Bax、bcl-2蛋白的表达,对p16、p21蛋白表达影响不明显;cagAHp感染使CSG、CAG、IM患者粘膜中的Bax、bcl-2、p16、p21表达均增高,尤以前两者为甚;相关分析表明cagA为影响四种蛋白表达的主要因子。

  从本文数据推测,Hp及其cagA因子可能通过促进Bax、bcl-2的表达,cagA因子还可促进p16、p21的表达,从而影响胃粘膜的增生和凋亡。细胞增生和凋亡的失衡,增加了DNA损伤、复制错误及基因突变的可能性;DNA的损伤可引起p53等的高表达,又进一步促进了Bax、p16、p21的表达。随着DNA损伤、基因突变的累积,p53可能亦随之突变,抑制了Bax、p16、p21的表达,使肿瘤细胞逃避了凋亡机制,引起了胃癌的发生。

  本文研究还表明:胃癌发生后,Hp持续感染可通过非cagA因子途径使胃腺癌粘膜中bcl-2、p16、p21低表达,由此可以推测出:Hp感染还可通过非cagA因子途径进一步影响胃癌的发展。

  从本文研究还可以看出:在胃腺癌演化系列中,在CAG阶段已出现Bax、bcl-2、p16、p21蛋白表达的异常,Bax、bcl-2表达上升、p16及p21表达下降,可能引起了胃粘膜的增生、凋亡加速,粘膜损害加重,DNA不稳定性增加,小部分继续往IM、Dys发展,最后产生了恒定持续的基因突变-癌变,从而参与了胃腺癌的发生。在男性患者中,Hp感染,特别cagAHp感染可能与了这一过程的变化相关。

  但也应该看到:福州地区的Hp及cagAHp感染率相对于胃癌发生率来说是很高的,说明Hp感染及其cagA因子不是胃癌发生的决定因素,仅是胃癌发生多因素、多步骤过程中的一个因素,影响其中一个步骤或多个步骤,还有其它许多因素影响Hp感染后致病的最终结果。

  基金项目:本课题受福建省科委基金(No.98-Z-168)资助

  [参考文献]

  [1]陈奕贵,陈玉丽,吴婷,等.幽门螺杆菌及其cagA因子与胃腺癌的关系[J].癌症,2000,19(3):226~229.

  [2]Hibi K, Mitomi H, Koizumi W, et al. Enhance cellular proliferation and p53 accumulation in gastric mucosa chronically infected with Helicobacter pylori [J]. Am J Clin Pathol,1997, 108(1): 26~ 34.

  [3]Tahara E. Molecular mechanism of stomach carcinogenesis [J]. J Cancer Res Clin Oncol, 1993, 119(5): 265~ 272.

  [4]Waston AJ. Necrosis and apoptosis in the gastrointestinal tract[J]. Gut,1995, 37(2): 165~ 167.

  [5]Aizawa K, Ueki K, Suzuki S, et al. Apoptosis and bcl-2 expression in gastric carcinomas correlation with clinico-pathological variables, p53 expression,cell proliferation and prognosis [J]. Int J Oncol, 1999, 14(1)85~ 91.

  [6]Komatsu K, Suzuki S, Ohara S, et al. Expression of bcl-2 and Bax in human gastric cancer tissue [J]. Nippon Rinsho,1996, 54(7): 1929~ 1934.

  [7]高华,袁媛,王兰,等.抑癌基因p16在胃癌前病变及胃癌中的表达的研究[J].中华病理杂志,1997,26(3):165~166.

  [8]苗今乐,胡家乐.p21WAF1在胃癌组织中表达及其意义[J].西南国防医药,1997,7(4):193~195.

收稿日期:1999-09-10;修回日期:2000-01-21


页面功能 参与评论】【字体: 打印文章关闭窗口
下一编:幽门螺杆菌及其cagA因子与胃腺癌的关系
焦点新闻
·小儿中枢神经系统白血病间歇性放射治疗的临床研究(附1
·树突状细胞与髓性白血病的免疫治疗
·急性髓系白血病M2b型分子生物学特征的鉴定
·高三尖杉酯碱的临床药物动力学及其在急性白血病化疗中
·抗凋亡基因bcl-x<sub>L</sub>与白血病细胞耐药的相关
·Flt3基因在白血病中的表达及临床意义
·急性髓细胞白血病早期病死高危因素及高白细胞髓性白血
·反义bcl-2基因转染对单核白血病细胞存活及化疗耐受能
温馨提示:如果您怀疑自己有某种健康问题,可到健康社区交流咨询或尽快去医院就医治疗。

栏目列表