维生素E琥珀酸酯诱导人胃癌细胞凋亡的作用
卫生毒理学杂志 1999年第2期第13卷 论著
作者:吴坤 郭健 单毓娟 刘柏合
单位:哈尔滨医科大学公共卫生学院 (150001)
关键词:维生素E琥珀酸酯;人胃癌细胞;细胞凋亡
内容摘要 以人胃腺癌SGC-7901细胞为实验模型,观察了维生素E琥珀酸酯(VES)对其生长的抑制作用,并且采用电镜、流式细胞术和末端脱氧核苷酸标记检测了VES诱导SGC-7901细胞凋亡情况。结果表明,20μg/ml VES处理SGC-7901细胞4天,细胞生长抑制率达100%,本研究结果还显示VES可诱导SGC-7901细胞经历凋亡,同样在20μg/ml剂量下处理细胞2天,可引起89.96%的细胞凋亡。本研究提示在离体试验条件下VES是人胃癌细胞潜在的生长抑制剂。
Effects of Vitamin E succinate on inducing apoptosis of human gastric carcinoma cells
Wu Kun,Guo Jian,Shan Yu-juan, et al.
(School of Public Health,Harbin Medical University,Harbin 150001)
Using human SGC-7901 gastric carcinoma cells as assay model,the effects Vitamin E succinate(VES) on of growth inhibition was investigated.The apoptosis action of SGC-7901 cells induced by VES treatment was also determined by electron microscope,flow-cytometry of propidium iodide-stained cells and terminal deoxynucleotidyl transferase to end-label DNA fragments in situ.The results showed that the SGC-7901 cells treated with 20μg/ml of VES for 4 days were 100% inhibited and also indicated that VES treatment of human SGC-7901 gastric cancer cells induced the cells to undergo apoptosis.After 48 hours for VES treatment at 20μg/ml,89.96% of cells were apoptotic.This study suggested that VES is a potential growth inhibitor of human gastric carcinoma cells in vitro.
Key words:Vitamin E succinate;Human gastric carcinoma cells;Apoptosis
维生素E琥珀酸酯(Vitamin E Succinate,VES)是天然维生素E的衍生物,最近研究表明其对多种肿瘤细胞生长有抑制作用,如大鼠神经胶质瘤细胞[1]、人前列腺癌细胞[2]、人早幼粒细胞[3]、人乳腺癌细胞[4]等。更令人感兴趣的是VES可选择性地抑制肿瘤细胞生长而对正常细胞却没有抑制作用[5]。胃癌是我国高发的恶性肿瘤之一,迄今为止国内外尚未见到有关VES对胃癌细胞作用的报道,国内也未见有关VES的研究,为此本研究以人胃癌(SGC-7901)细胞作为离体试验模型,从分子水平检测了VES处理后其细胞生长的抑制情况及其细胞凋亡的发生情况。旨在进一步探讨VES抑制肿瘤细胞生长的机理及将其作为肿瘤化学预防剂和治疗剂的可行性。
材料与方法
一、主要试剂
VES、Propidium Iodide(PI)、RNase和蛋白酶K购自美国Sigma公司;RPMI 1640培养基、胰酶和Hepes购自美国Gibco公司;末端脱氧核苷酸标记试剂盒购自德国Boehringer Mannheim公司。
二、实验用细胞株及细胞培养
SGC-7901细胞来自人胃腺癌细胞系,引自北京市肿瘤研究所,在液氮中保存,按常规方法复苏。1640培养基中含10%小牛血清,青霉素100IU/ml,链霉素100μg/ml和2mol/L的L-谷氨酰胺,于5%CO2、37℃温箱中培养。
三、细胞生长曲线的绘制
将胰酶消化指数生长期的SGC-7901细胞,用1640完全培养液稀释至浓度为5×104/ml。于24孔培养板每孔内接种等量细胞,置温箱内培养。次日细胞贴壁后,分别换以含5,10和20μg/ml VES的1640完全培养液,对照组为1640完全培养液,溶剂对照组为含0.02%无水乙醇的1640完全培养液,每个剂量加7孔,按此方法平行设置3套细胞培养板。从换液的次日起,每天每个剂量组取1孔按常规方法消化、计数、取3个平行培养板的平均值为当天的细胞数,如此至第7天结束。实验期间每48小时按不同剂量VES更换细胞培养液。将各组7天记录的数据输入计算机绘制细胞生长曲线,并计算VES对SGC-7901细胞的生长抑制率。
四、电镜观察肿瘤细胞的凋亡
经电镜检查常规方法处理后,收集培养48小时的对照组和VES各剂量组细胞,Epon 812浸透,胶囊内包埋,60℃烘箱聚合72小时,超薄切片(60nm),铀铅双重染色,透射电镜下观察。
五、流式细胞仪检测细胞凋亡
收集VES处理后和48小时各剂量组及对照组细胞,PBS洗2次,70%酒精固定,4℃过夜。PBS洗2次去除固定液,加入200μl RNase A,37℃水浴30分,再加入800μl PI染色液混匀,4℃避光30分,利用FACScan(Becton Dickinson)流式细胞仪进行荧光检测。
六、末端脱氧核苷标记法(TUNEL)检测细胞凋亡
VES处理48小时后,收集各剂量组及对照组细胞,PBS洗2次后用10%甲醛固定,4℃过夜。脱水、透明、石蜡包埋,细胞切片(厚度3~5μm),将细胞切片贴在事先涂有一簿层左旋多聚赖氨酸的载玻片上,室温下自然干燥。脱蜡、水化后用蛋白酶K消化,PBS洗2次,用0.3%H2O2去除内源性过氧化物酶,再用PBS洗2次。加TUNEL反应液(TdT酶加dUTP-荧光素),37℃湿盒内孵育1小时。加POD(抗荧光素抗体)-辣根过氧化物酶,37℃湿盒内孵育30分,再用DBA(3,3′二氧基联苯胺)显色,镜下观察至显色后终止反应,蒸馏水冲洗。用甲基绿复染,正丁醇脱水,二甲苯透明,中性树胶封片,镜下观察、计数。
结 果
一、SGC-7901细胞受VES处理后的生长曲线
对照组、乙醇对照组及VES各剂量组细胞于24孔培养板连续培养7天后,3个平行细胞培养板计数的平均值绘制成生长曲线,结果见图1。VES各剂量组细胞生长抑制率见表1。

图1 SGC-7901人胃腺癌细胞在VES处理下的生长曲线
—◆—对照组,—□—乙醇对照组,—△—5μg/ml VES,
—×—10μg/ml VES,—*—20μg/ml VES
表1 VES处理SGC-7901细胞7天的细胞生长抑制率(%)
| 剂量
(μg/ml) |
细胞生长抑制率 |
| 第1天 |
第2天 |
第3天 |
第4天 |
第5天 |
第6天 |
第7天 |
| 5 |
24.7 |
53.2 |
56.8 |
54.5 |
61.0 |
79.0 |
88.3 |
| 10 |
49.2 |
54.6 |
65.9 |
71.8 |
83.7 |
93.0 |
100 |
| 20 |
68.4 |
87.5 |
94.9 |
100 |
100 |
100 |
100 |
从图1中可见对照组和乙醇对照组的细胞于接种后第2天进入指数增生期,大约在72小时进入平顶期,VES组的细胞均受到不同程度的抑制,VES剂量越高,这种抑制作用越明显。在20μg/ml VES剂量条件下,SGC-7901细胞生长于24小时便受到极为明显地抑制,在第4天时细胞已经全部死亡。
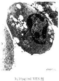
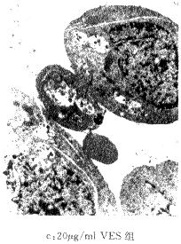
二、电镜观察SGC-7901细胞的凋亡
VES处理SGC-7901细胞48小时后电镜观察见到典型的细胞凋亡特征(图2)



图2 VES处理SGC-7901细胞的形态观察
从图2中可见,对照组没有发生凋亡的细胞有绒毛,线粒体细胞器正常,而在VES处理后的SGC-7901细胞可见染色质浓集成块状,绒毛消失,染色质固缩边集在核膜四周呈新月状小体(图2-b),并可见凋亡小体(图2-C)。
三、流式细胞仪测定结果
收集对照组及VES各剂量组SGC-7901细胞,进行流式细胞仪测试,结果见图3。从该图中可见10μg/ml和20μg/ml剂量VES处理条件下出现了典型的凋亡峰(Pre-G1peak)。


图3 VES处理SGC-7901细胞的流式细胞仪检测结果
a 对照组 b 5μg/ml VES组 c 10μg/ml VES组 d 20μg/ml VES组
四、末端脱氧核苷酸标记法检测结果
SGC-7901细胞受VES处理48小时后末端脱氧核甘酸标记法检测的细胞凋亡率见表2,从表2中可见随着VES剂量的升高,凋亡的细胞数增加并有明显的剂量-效应关系,在20μg/ml VES处理组,细胞凋亡率已达89.96%。从形态学上看,凋亡的SGC-7901人胃癌细胞核呈棕黄色,而正常细胞经甲基绿衬染呈淡蓝绿色,形成鲜明对比,随着VES剂量增加,凋亡细胞DAB黄染的颜色逐渐加深。
表2 VES处理48小时对SGC-7901细胞凋亡的诱导
| 剂量
(μg/ml) |
计数的
细胞总数 |
凋亡
细胞数 |
凋亡率(%) |
| 5 |
10000 |
1248** |
12.48 |
| 10 |
10000 |
5736** |
57.63 |
| 20 |
10000 |
8996** |
89.96 |
| 对照组 |
10000 |
6 |
0.06 |
与对照组相比 **P<0.01
讨 论
VES是天然维生素E的衍生物,因其对多种种肿瘤细胞的生长有抑制作用而受到关注。尽管其抑制肿瘤细胞生长的详细机理尚不清楚,但它肯定不同于天然VE抗氧化作用机理。天然VE是一类有共同基本结构的化学物,主要由二部分组成,即氧杂萘满头部和叶绿基尾部,根据氧杂萘满上甲基的数目和位置及叶绿基上有无双键分成生育酚和三烯生育酚二类共8种化学物,VES是通过一个酯键把琥珀酸和VE的氧杂萘满部分结合起来。
据国外文献报道,VES可抑制肿瘤细胞的DNA合成,在10μg/ml剂量条件下处理人乳腺癌细胞,DNA合成抑制率大于90%。在同样剂量下人乳腺癌细胞被处理4天后直接进行细胞计数,结果肿瘤细胞生长抑制率大于80%[6]。最近研究还表明VES是肿瘤细胞凋亡的诱导剂,用10μg/ml VES处理人乳腺癌细胞1,2,3和4天,肿瘤细胞凋亡率分别8%,19%和75%[7]。在本实验中VES作用于人胃癌SGC-7901细胞,从生长曲线可见各剂量组细胞均有不同程度的生长抑制,同样以10μg/ml VES剂量为例,第3天肿瘤细胞生长抑制率为65.9%,而第7天已达100%,这与上述人乳腺癌细胞生长的抑制规律基本相似。为进一步阐明VES对SGC-7901细胞生长抑制作用的机理,本研究用电镜观察,流式细胞仪检测和TUNEL检测分别从形态学和分子水平观察了VES对SGC-7901细胞是否有诱导凋亡的作用,结果表明VES处理的SGC-7901细胞表现出典型的细胞凋亡特征,如形态学上细胞染色质浓集、固缩、边集在核膜四周形成新月状小体,细胞绒膜消失及凋亡小体的出现,在流式细胞仪检测中见到典型的前G1峰,在TUNEL检测中可见凋亡的SGC-7901细胞随VES剂量增加而增加,且有良好的剂量-效应关系。上述结果均表明VES对SGC-7901细胞生长的抑制作用主要和VES诱导肿瘤细胞的凋亡有关。
上述研究均为离体试验,VES在整体试验中的抗肿瘤作用尚未完全证实,shklir等人[8]报道用地鼠口腔颊囊上皮癌为实验模型,肿瘤局部注射VES 250μg,每周2次共4周,肿瘤完全消退了。但也另有报道经口给予VES对地鼠肺肿瘤,大鼠乳腺肿瘤,小鼠膀胱肿瘤却没有抑制作用[9]。这些失效的结果最可能的解释是VES结构中酯键受到了破坏。在胃内残留的很多食物成份中可能存在非特异性酯酶,当VES被水解后变成游离的琥珀酸和VE,使其原有的抗肿瘤生物特性随之丢失了;为此设想选择胃癌作为肿瘤模型有可能在VES经口给予时直接与癌组织接触,那么VES在被水解前就可能对靶细胞发挥生物学作用了,这也是本研究选择SGC-7901细胞作为肿瘤细胞模型的原因所在,但建立哺乳动物癌模型,直接观察VES对胃癌的生长抑制作用无疑具有更重要的实践意义。
国家自然科学基金资助项目,编号39870662
参考文献
1.Rama BN and Prasad N,Proc Soc Exp Biol Med 1983;174:302.
2.Israel K,et al.Nutr Cancer,1995;24:161.
3.Turley JM,et al.Nutr Cancer,1992;18:201.
4.Charpentier A,et al.Nutr Cancer,1996;26:237.
5.Weipin Yu,et al.Nutr Cancer,1997;27:92.
6.Charpentier A,et al.Nutr Cancer,1993;19:225.
7.Weipin Yu,et al.Nutr Cancer,1997;27:267.
8.Shklar G,et al.J National Cancer Institute,1987;78:987.
9.Kelloff,et al.J Cellular Biochem,1992;20:282.
(修回日期 1999年2月)