您所在的位置:首页 > 专题栏目 > 乳癌专题 > 文献资料 用户登录 新用户注册
乳腺癌及其癌前病变中细胞凋亡与细胞增殖的原位观察

乳腺癌及其癌前病变中细胞凋亡与细胞增殖的原位观察

中华肿瘤杂志 1999年第6期第21卷 临床研究

作者:孙抒 李龙山 孙东植 金昌范

单位:133000 延吉市,延边大学医学院病理学教研室

  关键词: 乳腺肿瘤;癌前病变;细胞凋亡;细胞增殖

  【摘要】 目的 通过原位观察乳腺癌及其癌前病变中细胞凋亡与细胞增殖的表达,探讨其在乳腺组织恶性转化进程中的作用。方法 利用原位DNA断裂点的3-羟基末端标记(TUNEL)技术、增殖细胞核抗原(PCNA)免疫组织化学染色原位观察31例乳腺癌、20例乳腺不典型增生、20例乳腺单纯性增生中的细胞凋亡与细胞增殖,以8例正常乳腺组织为对照。结果 正常乳腺组织中凋亡细胞多位于乳腺导管及腺泡的近腔面,增殖细胞位于基底部;乳腺单纯性增生、乳腺不典型增生及乳腺癌丧失了上述分布特征。乳腺不典型增生中凋亡细胞和增殖细胞密度均显著高于乳腺癌和正常乳腺组织(P<0.01),乳腺癌中的凋亡细胞和增殖细胞密度也显著高于正常组织(P<0.01)。在乳腺单纯性增生和不典型增生中,凋亡细胞和增殖细胞密度比例分别为1∶1.3至1∶1.4,1∶1.1至1∶1.2;而在乳腺癌中其密度比例约为1∶2.3至1∶2.4。结论 细胞凋亡与细胞增殖异常可能是乳腺组织恶性转变过程中的重要指标之一。

In situ observation of apoptosis and proliferation in breast cancer and its precancerous lesions

SUN Shu, LI Longshan, SUN Dongzhi, et al. Department of Pathology, Yanbian University Medical College, Yanji 133000

  【Abstract】 Objective To investigate the effects of apoptosis and proliferation on malignant transformation of breast precancerous lesions by in situ observation.Methods The density and distribution of apoptotic cells were examined in 31 cases with breast cancer, 20 with dysplasia and 20 with hyperplasia, using TUNEL (TdT-mediated dUTP nick end labeling) technique and immunohistochemical method respectively. Eight normal breast tissues were used as the control.Results In normal breast tissue, apoptotic cells were located at the lacteals and gland follicles, facing the cavity. The proliferating cells were located at the basal layer of mucosa. These characteristics of distribution were lost in breast cancer and precancerous lesions. The density of apoptotic cells and proliferating cells of dysplasia was significantly higher than that in breast cancer and normal mucosa, The density of apoptotic cells and proliferating cells in breast cancer was significantly higher than that in normal mucosa. The ratio of apoptotic to proliferating cells in hyperplasia and dysplasia was 1∶1.3~1.4, 1∶1.1~1.2 respectively, and 1∶2.3~2.4 in breast cancer.Conclusion Abnormality in cell apoptosis and proliferation may play important role in the genesis of breast cancer.

  【Subject words】 Breast neoplasms  Precancerous lesion  Apoptosis  Cell proliferation

  细胞凋亡(apoptosis)又称程序性细胞死亡(programmed cell death),是指维持内环境稳定、由基因控制的细胞自主的有序性的死亡。目前认为,肿瘤的发生、发展不仅与细胞的过度增殖有关,也与凋亡失调有关。乳腺癌是女性最常见的恶性肿瘤之一,但其发生、发展机制尚未明确。探讨细胞凋亡与细胞增殖在乳腺癌及其癌前病变中的改变,有助于揭示乳腺癌的发生、发展的内在机制。我们利用脱氧核糖核酸末端转移酶介导的dUTP缺口末端标记(TUNEL)技术和增殖细胞核抗原(PCNA)的免疫组织化学技术,原位观察乳腺癌及其癌前病变中的细胞凋亡与细胞增殖,以揭示二者与乳腺癌发生、发展的关系。

  材料与方法

  1.材料:收集我院附属医院病理科1996~1997年间乳腺手术标本存档组织学蜡块71例。其中乳腺癌31例,年龄25~77岁,平均50.84岁;乳腺不典型增生20例,年龄21~46岁,平均35.55岁;乳腺单纯性增生20例,年龄15~45岁,平均28.44岁;另选正常乳腺组织8例做对照观察。全部标本均为中性福尔马林固定,石蜡包埋,5 μm厚连续切片。

  2.试剂:一抗PCNA为Santa cruz公司产品,其工作浓度为1∶100。S-P试剂盒系ZYMED公司产品,二抗、三抗工作浓度均为1∶200。原位细胞凋亡检测试剂盒为德国宝灵曼公司产品,该试剂盒由末端脱氧核苷酸转移酶(TdT),标记缓冲液(TdT buffer)和碱性磷酸酶连接的抗荧光素抗体(Converter-AP)组成,购自北京东方科技公司;蛋白酶K系Merck公司产品。

  3.病理分型:按WHO分类标准进行病理分型(表1)。

表1 乳腺癌病理组织学分型和凋亡细胞、增殖

  细胞的关系(个,±s)

组织类型 例数 凋亡细胞计数 增殖细胞计数
侵袭型导管癌

2

4.90±0.14

21.60±2.12

单纯癌 15 6.05±1.01 21.40±4.87
髓样癌 10 6.62±1.82 22.33±9.79
硬癌 2 6.60±1.70 22.30±3.96
粘液癌 2 8.70±2.40 16.40±8.77
不典型增生 20 25.16±2.79 29.58±5.79
单纯性增生 20 15.20±2.21 20.36±5.28
正常组织 8 2.83±0.68 4.51±3.18

  4.染色方法:细胞凋亡染色按宝灵曼公司试剂说明书进行,并略加修正。其步骤如下:石蜡切片脱蜡至水;3% H2O2、甲醇10分钟;5 μg/ml蛋白酶K消化液作用15分钟;蒸馏水洗5分钟,共2次;TUNEL标记液作用60分钟,37℃,该液含TdT buffer 450 μl,末端脱氧核甘酸转移酶50 μl;PBS洗5分钟2次;碱性磷酸酶连接的抗荧光素抗体,孵育30分钟,37℃;PBS洗5分钟2次;bufferⅢ洗5分钟2次;NBT/BCIP显色15分钟;bufferⅣ洗5分钟2次; 逐级脱水、透明、中性树胶封片。 PCNA免疫组织化学染色按S-P试剂说明书进行,染色前用微波炉进行抗原修复。

  5.观察指标:所有组织染色切片都在400倍放大的情况下,用真彩色病理图像分析系统进行凋亡细胞和增殖细胞计数,每例选10个统计场(单个统计场面积为0.006 156 mm2 ),取其均值作为阳性细胞密度。用t检验进行统计学处理。

  结果

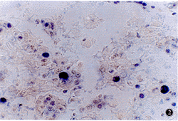
  凋亡阳性物质位于细胞核内,呈紫蓝色,在所有组织切片中均可见到;PCNA阳性物质也位于细胞核内,呈棕黄色,少许细胞浆有淡着色。二者在正常乳腺及其单纯性增生、不典型增生和乳腺癌中的分布如下:(1)乳腺正常组织:凋亡细胞主要位于乳腺导管及腺泡的近腔面,增殖细胞位于其基底,二者数量均很少,凋亡细胞与增殖细胞密度之比约为1∶1.5至1∶1.6。(2)乳腺单纯性增生:凋亡细胞和增殖细胞位置多重叠,位于乳腺导管及腺泡的近腔面,呈簇状分布,其数量显著高于正常组织,凋亡细胞与增殖细胞密度之比约为1∶1.3至1∶1.4。(3)乳腺不典型增生:凋亡细胞和增殖细胞位置多重叠,呈簇状弥漫分布(图1),其数量显著高于单纯性增生及乳腺癌,凋亡细胞与增殖细胞密度之比约为1∶1.1至1∶1.2。(4)乳腺癌:凋亡细胞散在分布数量少(图2),增殖细胞弥漫分布数量多,凋亡细胞和增殖细胞密度比约为1∶2.3至1∶2.4。

图1 乳腺不典型增生中的凋亡细胞,其数量多,弥漫分布 TUNEL 染色 ×400

图2 乳腺癌中的凋亡细胞,其数量少,散的分布 TUNEL 染色 ×400

  凋亡细胞密度在乳腺不典型增生中最高,显著高于乳腺单纯性增生、乳腺癌组织与乳腺正常组织(P<0.01);乳腺单纯性增生中凋亡细胞密度也显著高于乳腺癌与乳腺正常组织(P<0.01);乳腺癌中凋亡细胞密度也显著高于乳腺正常组织(P<0.01,表2)。

表2 乳腺癌癌变过程中细胞凋亡和细胞

  增殖的关系(个,±s)

组织类型 例数 凋亡细胞计数 增殖细胞计数 凋亡/增殖
乳腺癌

31

6.49±1.84*

20.79±6.38*

1∶(2.3~2.4)
不典型增生 20 25.16±2.79 29.58±5.79△△ 1∶(1.1~1.2)
单纯性增生 20 15.20±2.21△△ 20.36±5.28* 1∶(1.3~1.4)
正常组织 8 2.83±0.68 4.51±3.18 1∶(1.5~1.6)

与单纯性增生比较,P<0.01;△△与乳腺癌比较,P<0.01;

  * 与正常组织比较,P<0.01

  增殖细胞密度在乳腺不典型增生中最高,显著高于乳腺癌和正常组织(P<0.01),乳腺癌中的增殖细胞密度显著高于乳腺正常组织(P<0.01,图3,表2)。

图3 乳腺癌中的增殖细胞,其数量多,弥漫分布 PCNA染色 ×400

  讨论

  肿瘤的发生发展是多步骤渐进、多因素综合作用的结果。既往认为,肿瘤的形成是细胞无限增殖所致的细胞积聚。但近年研究发现,许多肿瘤中不仅存在细胞增殖,同时也存在细胞凋亡[1,2]。有研究表明,细胞凋亡和细胞增殖与乳腺癌预后、复发及恶性度有关[3-6]。众多学者认为,乳腺癌是在乳腺不典型增生的基础上发生的。乳腺癌的发生发展可分为以下几个阶段:正常-单纯性增生-不典型增生-原位癌-乳腺癌。我们的研究结果表明,乳腺组织恶性转化进程中细胞凋亡与细胞增殖有如下变化规律:正常组织凋亡细胞、增殖细胞均很少,显著少于单纯性增生、不典型增生和乳腺癌;单纯性增生中凋亡细胞与增殖细胞均显著增高,其密度比例为1∶1.3至1∶1.4;不典型增生中凋亡细胞与增殖细胞也显著高于乳腺癌,其密度的比例为1∶1.1至1∶1.2;乳腺癌中凋亡细胞与单纯性增生和不典型增生相比显著减少,但其增殖细胞数却显著增多,凋亡细胞与增殖细胞密度比例为1:2.3至1:2.4。从凋亡细胞和增殖细胞分布位置来看,在单纯性增生和不典型增生中,二者位置多数重叠,而在乳腺癌中无这一现象。这一变化规律提示细胞凋亡与细胞增殖比例失调与乳腺癌的发生、发展有密切关系。因此我们推测,随着乳腺组织恶性转化,细胞群的不稳定性增加,特别是在癌前阶段这种不稳定性达到高峰,其表现为大量的细胞凋亡和细胞增殖同时存在,甚至单个细胞既表现凋亡倾向,又表现增殖倾向。凋亡占优的细胞通过凋亡机制淘汰,而增殖占优的细胞不断增殖,最终形成癌。在乳腺癌时,凋亡细胞与增殖细胞比例完全失调,虽然也有少量细胞凋亡,但细胞增殖完全占据优势,并且不断地增殖,进一步表现其恶性行为。

  乳腺组织恶性转化进程中出现细胞凋亡和细胞增殖比例失调这一现象的机制尚未完全明了,可能与其调控基因失调有关。因此,进一步探讨乳腺组织恶性转化进程中细胞凋亡调控基因的改变,将有助于揭示这一现象的本质。

  本课题受吉林省卫生厅青年基金资助(1996-1998)

  参考文献

  1 Sachs L, Lotem J. Control of programmed cell death in normal and leukemic cells: new implications for therapy. Blood, 1993,82:15-21.

  2 Del Vecchio, Leoncini L, Buerki K, et al. Diffuse centrocytic and /or centroblastic malignant non-Hodgkin′s lymphomas: comparison of mitotic and pyknotic (apoptotic) indices . Int J Cancer, 1991,47:38-43.

  3 Bechtel PE, Hickey RJ, Schnaper L, et al. A unique form of proliferating cell nuclear antigen is present in malignant breast cells. Cancer Res,1998,58:3264-3269.

  4 Horiguchi J, Iino Y, Takei H, et al. Long-term prognostic value of PCNA labling index in primary operable breast cancer. Oncol Rep, 1998,5:641-644.

  5 Biesterfeld S, Kluppel D, Koch R, et al. Rapid and prognostically valid quantification of immunohistochemical reactions by immunohistometry of the most positive tumour focus: a prospective follow-up study on breast cancer using antibodies aganist MIB-1, PCAN, ER, and PR. J Pathol, 1998, 1859:25-31.

  6 Zhang GJ, Kimijima I, Abe R, et al. Apoptotic index correlates to bcl-2 and p53 protein expression ,histological grade and prognosis in invasive breast cancers. Anticancer Res, 1998 18:1989-1998.

(收稿:1999-01-08  修回:1999-05-10)


页面功能 参与评论】【字体: 打印文章关闭窗口
下一编:乳腺癌的内分泌辅助治疗
焦点新闻
·小儿中枢神经系统白血病间歇性放射治疗的临床研究(附1
·树突状细胞与髓性白血病的免疫治疗
·急性髓系白血病M2b型分子生物学特征的鉴定
·高三尖杉酯碱的临床药物动力学及其在急性白血病化疗中
·抗凋亡基因bcl-x<sub>L</sub>与白血病细胞耐药的相关
·Flt3基因在白血病中的表达及临床意义
·急性髓细胞白血病早期病死高危因素及高白细胞髓性白血
·反义bcl-2基因转染对单核白血病细胞存活及化疗耐受能
温馨提示:如果您怀疑自己有某种健康问题,可到健康社区交流咨询或尽快去医院就医治疗。

栏目列表