您所在的位置:首页 > 专题栏目 > 乳癌专题 > 文献资料 用户登录 新用户注册
nm23、p21ras、VEGF及ER在乳腺癌的表达及其与预后的关系

nm23、p21ras、VEGF及ER在乳腺癌的表达及其与预后的关系

肿瘤防治杂志 2000年第6期第17卷 基础研究

作者:陆云飞 林进令 曾健 廖清华 凯依塔

单位:陆云飞 林进令 曾健 廖清华 凯依塔(南宁市530027 广西医科大学第一附属医院外科)

关键词:乳腺肿瘤;基因表达;血管内皮生长因子;雌激素受体

  【摘要】 目的:研究nm23、p21ras癌基因、VEGF和ER在乳腺癌组织中的表达及与临床预后的关系。方法:随机选择1988~1995年在本院手术的乳腺癌患者86例,乳腺良性病变患者 28 例。检测方法采用免疫组化法(S-P法)。免疫组化检测结果结合术后长期随访资料进行分析。结果:nm23、p21ras、VEGF、ER在乳腺癌阳性表达分别为77.9%、87.2%、86.0%、68.6%,明显高于良性病变组(p<0.05)。ER阳性表达率在乳腺癌临床分期Ⅰ~Ⅱ期高于Ⅲ~Ⅳ期(P<0.05)。nm23阳性患者术后生存率高于 nm23 阴性者,ER阳性患者术后生存率高于 ER 阴性者,VEGF 阴性患者术后生存率高于 VEGF 阳性者(P<0.05)。p21ras与术后生存率无明显关系(P>0.05)。结论:乳腺癌的nm23、p21ras、VEGF和ER阳性表达率明显高于良性病变。nm23、ER阳性,VEGF阴性的乳腺癌预后较好。nm23及ER、VEGF可以作为乳腺癌的预后指标,有较大的临床意义。

  中图分类号:R737.9    文献标识码:A    文章编号:1009-4571(2000)06-0592-04

Expression of nm23,p21ras,VEGF,ER and Their Prognostic Significance in Breast Cancer

LU Yun-fei,LIN Jin-ling,ZENG Jian,et al.

  (Department of Surgery,First Hospital of Guangxi Medical University,Nanning 530027)

  【Abstract】 Objective:To study the expression of nm23,p21ras,VEGF,ER and their prognostic significance in breast cancer.Methods:The expression of nm23,p21ras,VEGF and ER was studied in 86 cases of breast cancer and 28 cases of breast benign diseases by immunohistochemical techinque(S-P method).Results:Positive rates of nm23,p21ras,VEGF and ER in breast cancer were 77.9%,87.2%,86.0%,and 68.6%,respectively,which were higher than those of benign breast diseases(P<0.05).ER positive rate of breast cancer in stage Ⅰ-Ⅱ was higher than that in stage Ⅲ-Ⅳ(P<0.05).Survival rate of nm23 positive in breast cancer patients was higher than that of nm23 negative patients,and survival rate of ER positive patients was higher than that of ER negative patients.However,VEGF negative patients showed significant longer survival compared to VEGF positive patients(P<0.05).Conclusions:The expression of nm23,p21ras,VEGF and ER in breast cancer is significantly higher than that in benign breast diseases.Breast cancer with nm23,ER positive and VEGF negative had better prognosis.It is concluded that nm23,VEGF and ER can be used as markers in breast cancer prognostication.

  【Key words】 breast neoplasms;nm23;p21ras,VEGF;ER

  乳腺癌是妇女常见的恶性肿瘤之一,其预后的判断是一个众所关注的问题。有报道指出 nm23和p21ras、VEGF和ER 表达分别与乳腺癌的预后有关,但各作者意见尚不一致[1~3]。为了探讨乳腺癌nm23、p21ras、VEGF和ER的表达情况及其与术后预后的关系,我们进行了以下研究。

  1 材料与方法

  随机选择1988~1995年间在广西医科大学第一附属医院外科手术的乳腺癌 86 例,乳腺良性病变 28 例,均经组织病理检查确诊。乳腺癌组 86 例中单纯癌 66 例,髓样癌及导管癌等 20 例。良性病变组 28 例中乳腺纤维腺瘤 8 例,乳腺小叶增生症 20 例。

  ER、nm23、p21ras单克隆抗体及 S-P免疫组化染色试剂盒购自福建迈新生物技术开发公司,VEGF多克隆抗体购自北京中山生物技术有限公司。免疫组织化学检测方法采用链霉菌抗生物素法(Streptavidin-peroxidase,SP法)。以试剂盒自带的阳性切片的免疫组化染色结果为阳性对照,以 PBS 替代一抗为阴性对照。免疫组化染色结果判断根据文献及试剂盒说明书进行[1~3]

  统计学分析,两组 nm23、p21ras、VEGF和ER的表达以及与临床病理参数的关系用χ2检验,各项检测指标与生存率的关系用时序检验(Log-rank)。

  2 结果

  2.1 乳腺癌组和良性病变组ER、nm23、p21ras、VEGF表达结果

  nm23、p21ras、VEGF免疫组化染色后细胞浆内有棕黄色染色颗粒为表达阳性,阴性为全部癌细胞无特异性染色。ER免疫组化染色后细胞核内有棕黄色染色颗粒为阳性细胞,阳性细胞占全部癌细胞50%以上为表达阳性(图~4)。nm23、p21ras、VEGF和ER的阳性表达率在乳腺癌组高于良性病变组,两者间差异有显著意义,P<0.05(表1)。

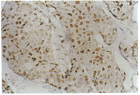
图1 ER阳性表达的乳腺癌

  (细胞核内可见棕黄色染色颗粒,SP×400)

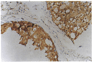
图2 VEGF阳性表达的乳腺癌

  (细胞浆内可见棕黄色染色颗粒,SP×400)

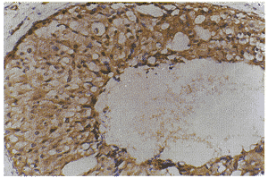
图3 p21ras阳性表达的乳腺癌

  (细胞浆内可见棕黄色染色颗粒,SP×400)

图4 nm23阳性表达的乳腺癌

  (细胞浆内可见棕黄色染色颗粒,SP×400)

表1 乳腺癌和良性病变nm23、p21ras、VEGF及ER表达结果

组别    n (nm23)/(n(%)) (p21)/(n(%)) (VEGF)/(n(%)) (ER)/(n(%))
乳腺癌组  86 67(77.9) 75(87.2) 74(86.0) 59(68.6)
良性病变组 28  9(32.1)  7(25.0) 16(57.1) 12(42.9)

  注:※乳腺癌组 vs良性病变组,P<0.05。

  2.2 乳腺癌nm23、p21ras、VEGF和ER阳性表达与临床病理参数的关系

  乳腺癌 ER 表达阳性率在临床Ⅰ~Ⅱ期高于Ⅲ~Ⅳ期,两者相比较差异有显著性,P<0.05。nm23、p21ras、VEGF和ER与年龄、淋巴结转移无相关性,P>0.05(表2)。

  2.3 乳腺癌nm23、p21ras、VEGF及ER表达与生存率的关系

  2.3.1 乳腺癌nm23表达与生存率的关系 nm23表达阳性乳腺癌患者3、5、7、10年生存率分别为95.5%、92.5%、89.6%、83.6%,而nm23表达阴性患者则分别为84.2%、73.7%、63.1%、47.4%。Log-rank检验提示nm23表达阳性乳腺癌患者的生存率明显高于nm23表达阴性患者,P=0.006 3。

  2.3.2 乳腺癌p21ras表达与生存率的关系 p21ras表达阳性乳腺癌患者的3、5、7、10年生存率分别为62.7%、48.0%、38.7%、34.7%;而p21表达阴性患者则分别为72.7%、36.4%、27.3%、27.3%。Log-rank检验提示p21ras表达阳性乳腺癌患者的生存率与p21ras表达阴性患者无明显差异,P=0.886 9。

表2 乳腺癌nm23、p21ras、VEGF和ER阳性表达

  与临床病理参数的关系

临床资料 n (nm23)/(n(%)) (p21ras)/(n(%)) (VEGF)/(n(%)) (ER)/(n(%))
年龄
 <40 26 19(73.1) 24(92.3) 22(84.6) 18(69.2)
 40~49 32 27(84.4) 26(81.3) 30(93.8) 21(65.6)
 50~59 13 10(76.9) 11(84.6) 9(69.2)  8(61.5)
 >60 15 11(73.3) 14(93.3) 13(86.0) 12(80.0)
临床分期
 Ⅰ~Ⅱ 48 39(81.3) 43(89.6) 42(87.5) 39(81.3)
 Ⅲ~Ⅳ 38 28(73.7) 32(84.2) 32(84.2) 20(52.6)
淋巴结状况
 阳性 66 51(77.3) 57(86.4) 58(87.9) 43(65.2)
 阳性 20 16(80.0) 18(90.0) 16(80.0) 16(80.0)

  注:※P<0.05。2.3.2 乳腺癌 VEGF 表达与生存率的关系 VEGF表达阳性乳腺癌患者的3、5、7、10年生存率分别为56.8%、40.6%、32.4%、29.7%;而 VEGF 表达阴性患者则分别为91.7%、86.3%、66.7%、58.3%。log-rank检验提示 VEGF 表达阳性患者的生存率明显低于 VEGF 表达阴性患者,P=0.02。

  2.3.4 乳腺癌 ER 表达与生存率的关系 ER 表达阳性乳腺癌患者3、5、7、10年生存率分别为66.1%、55.9%、42.4%、37.3%,而 ER 表达阴性患者则分别为51.9%、29.6%、25.9%、22.2%。log-rank检验提示 ER 表达阳性乳腺癌患者的生存率明显高于 ER 阴性者,P=0.04。

  3 讨论

  3.1 nm23、p21ras、VEGF及ER表达在乳腺良、恶性疾病的差异

  Goodall等[4]研究 153 例可触及乳腺病变的患者,发现正常乳腺组织 nm23 表达水平低于同一患者乳腺肿瘤组织。姜军等[5]应用免疫组化法检测正常乳腺组织、乳腺囊性增生病、乳腺癌中p21蛋白表达,结果显示正常乳腺组织无p21表达,在乳腺的不典型增生阶段已有p21的过度表达,随着不典型增生程度加重,其表达阳性率增加,提示p21与乳腺癌的发生及生物学行为可能相关。Tsuruta[6]发现正常血浆可以检测到VEGF,在一些乳腺癌患者血浆中 VEGF升高。黄志勇等[7]对100例乳腺癌和100例乳腺良性疾病组织进行p53、ER和PR检测,结果表明乳腺癌的p53、ER和PR阳性率显著高于良性疾病,P<(0.01~0.05)。但多数作者仅研究1~2个指标,鲜见同时进行以上4个指标研究的报告。我们对 86 例乳腺癌及28例乳腺良性病变同时进行以上4个指标的联合检测,发现乳腺癌的nm23、p21ras、VEGF和ER阳性表达率明显高于乳腺良性疾病,提示乳腺癌的发生发展与这些因素有关。我们认为,如果对这些因素进行深入研究,可能对乳腺癌的诊治有较大意义。

  3.2 nm23、p21ras、VEGF及ER表达与乳腺癌预后的关系

  文献报告nm23阳性表达与淋巴结转移呈负相关、与预后呈正相关[8],nm23阳性者与nm23阴性者相比,淋巴结转移少,5年生存率高。但也有作者认为nm23与乳腺癌淋巴结转移、组织类型及术后生存率无关[9]。我们研究发现nm23表达阳性者术后3、5、7、10年生存率高于阴性者,表明nm23阳性乳腺癌预后较好。至于nm23与淋巴结转移关系,我们研究未能发现统计学上相关。

  有作者认为p21ras阳性表达可能与乳腺癌淋巴结转移、组织分化及预后有关,但也有作者认为无关,意见尚不一致。本组未发现p21ras与乳腺癌患者预后有关,与Archer等[3]研究结果相似。

  VEGF由Ferrara于1989年发现。VEGF由多种肿瘤及某些细胞产生。文献报告:①VEGF是肿瘤血管生长及转移的关键因素[10];②抗VEGF抗体能抑制肿瘤细胞生长,动物实验能抑制原发瘤生长,并抑制肺转移;③VEGF与预后有关,VEGF阴性者预后好、5年生存率高;④伴有转移的胃癌、结肠癌患者的血浆VEGF水平高于不伴转移者。我们研究发现乳腺癌 VEGF表达阳性者的术后3、5、7、10年生存率低于阴性者。提示 VEGF 对乳腺癌患者预后有重要意义。

  文献报告 ER 可用于预测乳腺癌侵袭性、估计激素依赖性、评估预后和指导治疗。ER阳性乳腺癌细胞分化好,对内分泌治疗较敏感,术后不易复发。我们研究发现临床Ⅰ~Ⅱ期乳腺癌的 ER 表达阳性率高于Ⅲ~Ⅳ期乳腺癌,ER表达阳性者术后3、5、7、10年生存率高于阴性者,提示ER与乳腺癌临床分期及术后生存率有关。

  根据本文结果,我们认为,乳腺癌的nm23、p21ras、VEGF和ER表达明显高于乳腺良性急病变;nm23阳性、ER阳性、VEGF阴性的乳腺癌预后较好;nm23、VEGF和ER可以作为乳腺癌的预后指标。如果对上述指标进行进一步研究,可能对乳腺良、恶性病变的鉴别、乳腺癌的早期诊断以及制定治疗方案有较大意义。

  参考文献:

  [1] Sawan,A,Laoca I,Veron M,et al.NDPK/nm23 expression in human breast cancer in relation to relapse survival,and other prognostic factors;an immunohistochemical study[J].Pathol,1994,172(1):27-34.

  [2] Scott PA,Smith K,Poulsom R,et al.Differential expression of vascular endothelial growth factor mRNA Vs protein isoform expression in human breast cancer and relationship to elF-4E[J].Br J Cancer,1998,77(12):2120-2128.

  [3] Archer SG,Eliopoulos A,Spandidos D,et al.Expression of rasP21,C-erbb-2,p53 in advanced breast cancer and response to first time hormonal therapy[J].Br J Cancer,1995,72(5):1259-1263.

  [4] Goodall RJ,Dawkins HJ,Obins PD,et al.Evaluation of expression levels of nm23-H1 mRNA in primary breast cancer,benign breast disease,axillary lymph nodes and normal tissue[J].Pathology,1994,26(4):423-428.

  [5] 姜军,陈意生,柳轩,等.乳腺不典型增生组织中ras基因产物表达的意义[J].第三军医大学学报,1996,18(3):202-205.

  [6] Tsuruka K,Taniguchi T,Okamoto A,et al.Concentration of vascular endothelial growth factor in sera of normal controls and cancer patients[J].Clin Cancer Res,1996,2(5):821-826.

  [7] 黄志勇,王宁,韩雪莲,等.p53基因,ER,PR在乳腺癌中的表达及临床意义[J].江苏医药,1996,22(12):838-839.

  [8] Togunaga Y,Urano T,Furukawa K,et al.Reduced expression of nm23-H1,but not nm23-H2,is concordant with the frequency of lymph-node metastasis in human breast cancer[J].Int J Cancer,1993,55(1):66-71.

  [9] Kapranos N,Karaiossifidi H,Kouri E,et al.nm23 expression in breast duct carcinoma:a ten year-follow up study in a uniform group of node negative breast cancer patients[J].Anticancer Res,1996,16(6C):3987-3990.

  [10] Plate KH,Weich HA,Breir G,et al.Vascular endothelial growth factor and gloma angiogenesis:coordinate action of VEGF protein and possible in vivoregulatory mechanisms[J].Int J Cancer,1994,59(4):520-529.

收稿日期:2000-11-28 修回日期:2000-12-10


页面功能 参与评论】【字体: 打印文章关闭窗口
下一编:隐匿性乳腺癌的诊断和治疗
焦点新闻
·小儿中枢神经系统白血病间歇性放射治疗的临床研究(附1
·树突状细胞与髓性白血病的免疫治疗
·急性髓系白血病M2b型分子生物学特征的鉴定
·高三尖杉酯碱的临床药物动力学及其在急性白血病化疗中
·抗凋亡基因bcl-x<sub>L</sub>与白血病细胞耐药的相关
·Flt3基因在白血病中的表达及临床意义
·急性髓细胞白血病早期病死高危因素及高白细胞髓性白血
·反义bcl-2基因转染对单核白血病细胞存活及化疗耐受能
温馨提示:如果您怀疑自己有某种健康问题,可到健康社区交流咨询或尽快去医院就医治疗。

栏目列表