“霉草尘肺”(外源性巨噬细胞性肺泡炎)
中华劳动卫生职业病杂志 1999年第1期第0卷 病理读片
作者:王炳森
单位:200003 上海市劳动卫生与职业病研究所
患者男,41岁,农民,在连续处理霉变干草两天后自觉寒战、发热、轻度咳嗽并咯出少量粘液样物,5天后患者有胸闷、气急,由于症状加剧而入院。入院后发现患者除有上述症状外,并出现轻度发绀,两下肺有少数湿口 罗音,胸片示两肺斑点状和片状阴影,右侧略多于左侧。经各种治疗后上述症状和体征逐渐好转,但复查见右下肺出现1.0cm×2.5cm块状阴影,抗炎治疗未能吸收而于两月后开胸作肺叶切除。病理检查结果为右肺炎性假瘤和“霉草尘肺”(图1,2)。兹将其病理部分报告和讨论如下。

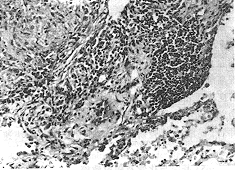
图1 霉草尘肺 肺泡腔内多数巨噬细胞,个别在其胞浆内见有霉菌孢子,间质纤维化,细支气管亦有增生 HE×100

图2 霉草尘肺 部分肺泡尚正常,但肺内出现炎性纤维化(右下角),间质内纤维性增生和大量淋巴细胞浸润 HE×100
右下叶肺,实质内有灰白色界限不清的实变区(2cm×1cm),余肺有散在1~2mm病灶,质软,轻度肺气肿。镜下见部分肺泡腔内积大量巨噬细胞,周围明显纤维性增生,间质内尚有淋巴细胞等浸润并伴胶原纤维增加,部分细支气管腔狭窄,周围亦有纤维化,个别部位见有类结节状病灶,由胶原纤维、毛细血管、炎细胞和纤维母细胞等混合构成。
讨论 本例接触史明确,发病过程典型,由于右下肺出现块影而手术。病理检查证实在肺内主要为巨噬细胞性肺泡炎(个别处查见孢子菌)及其慢性继发性病变(肺泡壁及间质炎性纤维化,细支气管损害和增生),因此,本病的疾病本质为变态反应(Ⅲ型),其抗原抗体复合物沉积于肺泡壁和间质,并造成明显巨噬细胞反应及慢性损害(有时可形成肉芽肿样病变和类结节状纤维化)。本例术后恢复良好。
(收稿:1997-04-15)